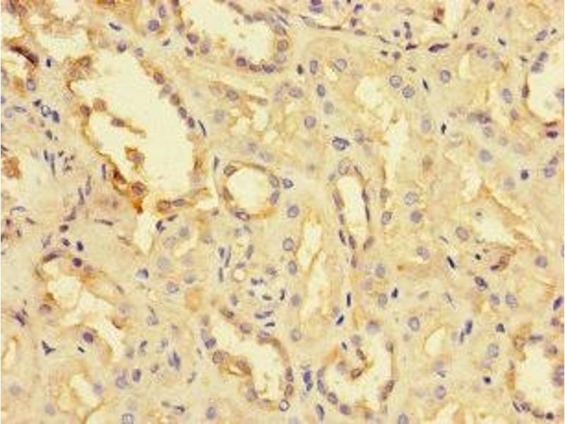
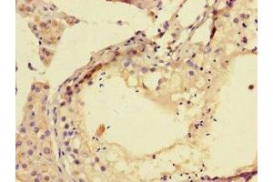
TPPP3 Antikörper (AA 2-176)
Kurzübersicht für TPPP3 Antikörper (AA 2-176) (ABIN7173726)
Target
Alle TPPP3 Antikörper anzeigenReaktivität
Wirt
Klonalität
Konjugat
Applikation
-
-
Bindungsspezifität
- AA 2-176
-
Verwendungszweck
- TPPP3 Antibody
-
Aufreinigung
- Protein G purified
-
Reinheit
- >95 %
-
Immunogen
- Recombinant Human Tubulin polymerization-promoting protein family member 3 protein (2-176AA)
-
Isotyp
- IgG
-
-
-
-
Applikationshinweise
- Optimal working dilution should be determined by the investigator.
-
Beschränkungen
- Nur für Forschungszwecke einsetzbar
-
-
-
Format
- Liquid
-
Buffer
-
Preservative: 0.03 % Proclin 300
Constituents: 50 % Glycerol, 0.01M PBS, PH 7.4 -
Konservierungsmittel
- ProClin
-
Vorsichtsmaßnahmen
- This product contains ProClin: a POISONOUS AND HAZARDOUS SUBSTANCE which should be handled by trained staff only.
-
Lagerung
- -20 °C,-80 °C
-
Informationen zur Lagerung
- Upon receipt, store at -20°C or -80°C. Avoid repeated freeze.
-
-
- TPPP3 (Tubulin Polymerization-Promoting Protein Family Member 3 (TPPP3))
-
Andere Bezeichnung
- TPPP3
-
Hintergrund
-
Background: Binds tubulin and has microtubule bundling activity. May play a role in cell proliferation and mitosis.
Aliases: CGI-38 antibody, p20 antibody, p25gamma antibody, TPPP/p20 antibody, Tppp3 antibody, TPPP3_HUMAN antibody, Tubulin polymerization-promoting protein family member 3 antibody
-
UniProt
- Q9BW30
Target
-