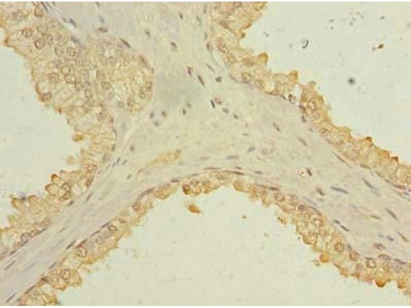
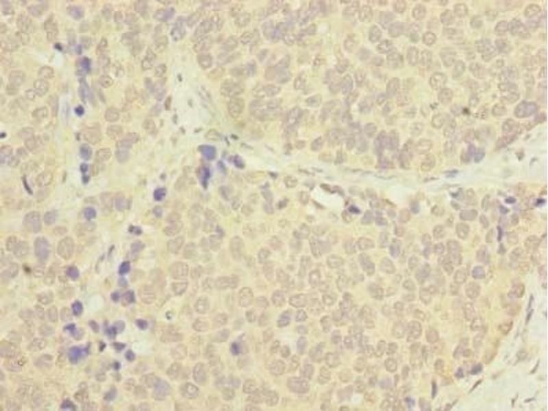
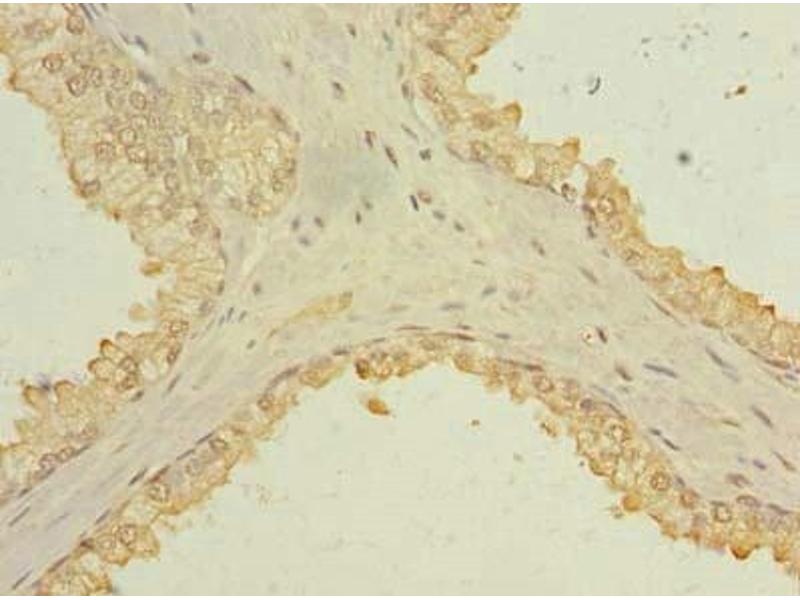
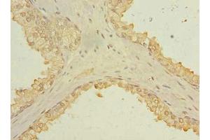
TSACC/C1orf182 Antikörper (AA 1-125)
Kurzübersicht für TSACC/C1orf182 Antikörper (AA 1-125) (ABIN7173631)
Target
Reaktivität
Wirt
Klonalität
Konjugat
Applikation
-
-
Bindungsspezifität
- AA 1-125
-
Verwendungszweck
- TSACC Antibody
-
Aufreinigung
- Protein G purified
-
Reinheit
- >95 %
-
Immunogen
- Recombinant Human TSSK6-activating co-chaperone protein (1-125AA)
-
Isotyp
- IgG
-
-
-
-
Applikationshinweise
- Optimal working dilution should be determined by the investigator.
-
Beschränkungen
- Nur für Forschungszwecke einsetzbar
-
-
-
Format
- Liquid
-
Buffer
-
Preservative: 0.03 % Proclin 300
Constituents: 50 % Glycerol, 0.01M PBS, PH 7.4 -
Konservierungsmittel
- ProClin
-
Vorsichtsmaßnahmen
- This product contains ProClin: a POISONOUS AND HAZARDOUS SUBSTANCE which should be handled by trained staff only.
-
Lagerung
- -20 °C,-80 °C
-
Informationen zur Lagerung
- Upon receipt, store at -20°C or -80°C. Avoid repeated freeze.
-
-
- TSACC/C1orf182 (TSACC) (TSSK6 Activating Co-Chaperone (TSACC))
-
Andere Bezeichnung
- TSACC
-
Hintergrund
-
Background: Co-chaperone that facilitates HSP-mediated activation of TSSK6.
Aliases: TSACC antibody, C1orf182 antibody, TSSK6-activating co-chaperone protein antibody, SSTK-interacting protein antibody, SSTK-IP antibody
-
UniProt
- Q96A04
Target
-