Telefon:
+49 (0)241 95 163 153
Fax:
+49 (0)241 95 163 155
E-Mail:
orders@antikoerper-online.de

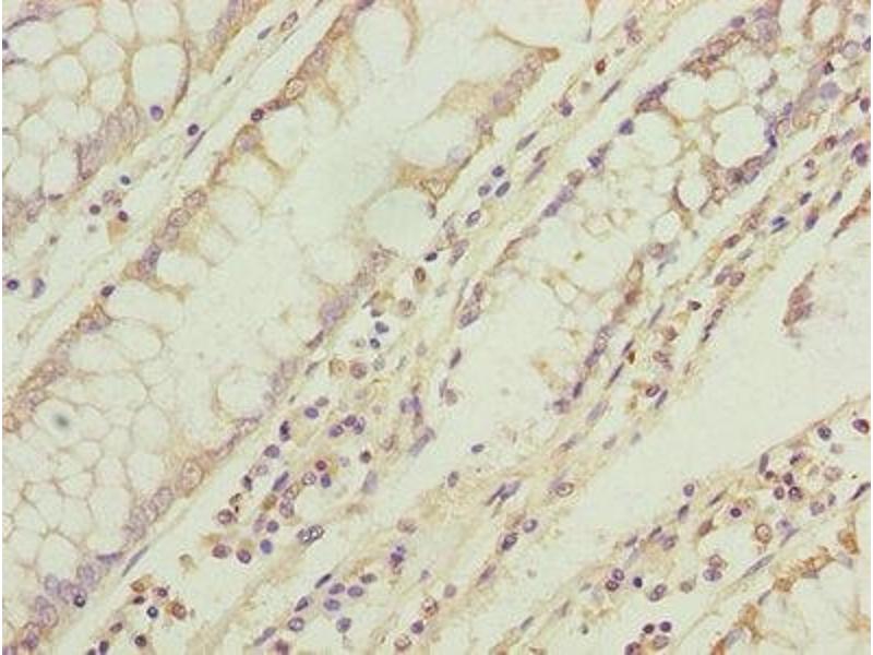
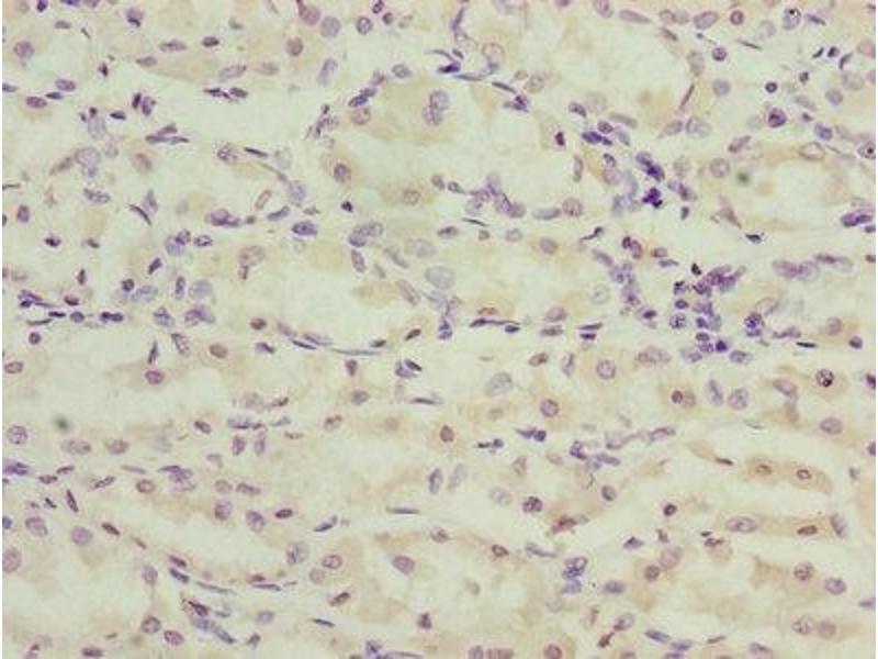
TMEM71 Antikörper (AA 1-210)

Dieser Kaninchen Polyklonal Antikörper detektiert spezifisch TMEM71 in ELISA, WB und IHC. Es zeigt Reaktivität gegenüber Proben von Human.
Produktnummer ABIN7173269
328,90 €
Zzgl. Versandkosten 20,00 € und MwSt
Lieferung nach: Deutschland
Lieferung in 11 bis 15 Werktagen

Kurzübersicht für TMEM71 Antikörper (AA 1-210) (ABIN7173269)

Target

TMEM71 (Transmembrane Protein 71 (TMEM71))

Reaktivität

  • 5
  • 1
Human

Wirt

  • 5
Kaninchen

Klonalität

  • 5
Polyklonal

Konjugat

  • 2
  • 1
  • 1
  • 1
Dieser TMEM71 Antikörper ist unkonjugiert

Applikation

ELISA, Western Blotting (WB), Immunohistochemistry (IHC)
  • Bindungsspezifität

    • 4
    • 1
    AA 1-210

    Verwendungszweck

    TMEM71 Antibody

    Aufreinigung

    Antigen Affinity Purified

    Immunogen

    Recombinant Human Transmembrane protein 71 protein (1-210AA)

    Isotyp

    IgG
  • Applikationshinweise

    Optimal working dilution should be determined by the investigator.

    Beschränkungen

    Nur für Forschungszwecke einsetzbar
  • Format

    Liquid

    Buffer

    Preservative: 0.03 % Proclin 300
    Constituents: 50 % Glycerol, 0.01M PBS, PH 7.4

    Konservierungsmittel

    ProClin

    Vorsichtsmaßnahmen

    This product contains ProClin: a POISONOUS AND HAZARDOUS SUBSTANCE which should be handled by trained staff only.

    Lagerung

    -20 °C,-80 °C

    Informationen zur Lagerung

    Upon receipt, store at -20°C or -80°C. Avoid repeated freeze.
  • Target

    TMEM71 (Transmembrane Protein 71 (TMEM71))

    Andere Bezeichnung

    TMEM71

    Hintergrund

    TMEM71 antibody, TMM71_HUMAN antibody, Transmembrane protein 71 antibody

    UniProt

    Q6P5X7
Sie sind hier:
Chat with us!