Telefon:
+49 (0)241 95 163 153
Fax:
+49 (0)241 95 163 155
E-Mail:
orders@antikoerper-online.de

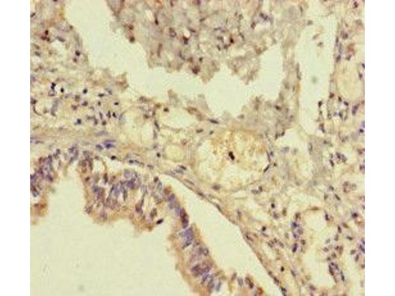
TMEM64 Antikörper (AA 40-118)

Dieser Kaninchen Polyklonal Antikörper detektiert spezifisch TMEM64 in ELISA, WB und IHC. Es zeigt Reaktivität gegenüber Proben von Human.
Produktnummer ABIN7173257
328,90 €
Zzgl. Versandkosten 20,00 € und MwSt
Lieferung nach: Deutschland
Lieferung in 11 bis 15 Werktagen

Kurzübersicht für TMEM64 Antikörper (AA 40-118) (ABIN7173257)

Target

TMEM64 (Transmembrane Protein 64 (TMEM64))

Reaktivität

  • 6
  • 2
Human

Wirt

  • 6
Kaninchen

Klonalität

  • 6
Polyklonal

Konjugat

  • 2
  • 2
  • 1
  • 1
Dieser TMEM64 Antikörper ist unkonjugiert

Applikation

ELISA, Western Blotting (WB), Immunohistochemistry (IHC)
  • Bindungsspezifität

    • 5
    • 1
    AA 40-118

    Verwendungszweck

    TMEM64 Antibody

    Kreuzreaktivität

    Maus

    Aufreinigung

    Protein G purified

    Reinheit

    >95 %

    Immunogen

    Recombinant Human Transmembrane protein 64 protein (40-118AA)

    Isotyp

    IgG
  • Applikationshinweise

    Optimal working dilution should be determined by the investigator.

    Beschränkungen

    Nur für Forschungszwecke einsetzbar
  • Format

    Liquid

    Buffer

    Preservative: 0.03 % Proclin 300
    Constituents: 50 % Glycerol, 0.01M PBS, PH 7.4

    Konservierungsmittel

    ProClin

    Vorsichtsmaßnahmen

    This product contains ProClin: a POISONOUS AND HAZARDOUS SUBSTANCE which should be handled by trained staff only.

    Lagerung

    -20 °C,-80 °C

    Informationen zur Lagerung

    Upon receipt, store at -20°C or -80°C. Avoid repeated freeze.
  • Target

    TMEM64 (Transmembrane Protein 64 (TMEM64))

    Andere Bezeichnung

    TMEM64

    Hintergrund

    Background: Positively regulates TNFSF11-induced osteoclast differentiation. Acts as a regulator of TNFSF11-mediated Ca(2+) signaling pathways via its interaction with SERCA2 which is critical for the TNFSF11-induced CREB1 activation and mitochondrial ROS generation necessary for proper osteoclast generation. Association between TMEM64 and SERCA2 in the ER leads to cytosolic Ca (2+) spiking for activation of NFATC1 and production of mitochondrial ROS, thereby triggering Ca (2+) signaling cascades that promote osteoclast differentiation and activation. Negatively regulates osteoblast differentiation and positively regulates adipocyte differentiation via modulation of the canonical Wnt signaling pathway. Mediates the switch in lineage commitment to osteogenesis rather than to adipogenesis in mesenchymal stem cells by negatively regulating the expression, activity and nuclear localization of CTNNB1.

    Aliases: TMEM64 antibody, TMM64_HUMAN antibody, Transmembrane protein 64 antibody

    UniProt

    Q6YI46
Sie sind hier:
Chat with us!