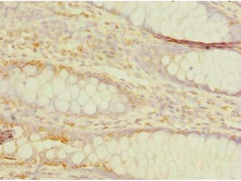
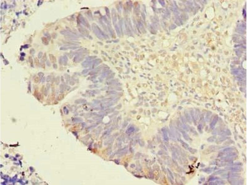
TMEM59L Antikörper (AA 27-267)
Kurzübersicht für TMEM59L Antikörper (AA 27-267) (ABIN7173249)
Target
Alle TMEM59L Antikörper anzeigenReaktivität
Wirt
Klonalität
Konjugat
Applikation
-
-
Bindungsspezifität
- AA 27-267
-
Verwendungszweck
- TMEM59L Antibody
-
Aufreinigung
- Protein G purified
-
Reinheit
- >95 %
-
Immunogen
- Recombinant Human Transmembrane protein 59-like protein (27-267AA)
-
Isotyp
- IgG
-
-
-
-
Applikationshinweise
- Optimal working dilution should be determined by the investigator.
-
Beschränkungen
- Nur für Forschungszwecke einsetzbar
-
-
-
Format
- Liquid
-
Buffer
-
Preservative: 0.03 % Proclin 300
Constituents: 50 % Glycerol, 0.01M PBS, PH 7.4 -
Konservierungsmittel
- ProClin
-
Vorsichtsmaßnahmen
- This product contains ProClin: a POISONOUS AND HAZARDOUS SUBSTANCE which should be handled by trained staff only.
-
Lagerung
- -20 °C,-80 °C
-
Informationen zur Lagerung
- Upon receipt, store at -20°C or -80°C. Avoid repeated freeze.
-
-
- TMEM59L (Transmembrane Protein 59-Like (TMEM59L))
-
Andere Bezeichnung
- TMEM59L
-
Hintergrund
-
Background: Modulates the O-glycosylation and complex N-glycosylation steps occurring during the Golgi maturation of APP. Inhibits APP transport to the cell surface and further shedding.
Aliases: BSMAP antibody, Brain-specific membrane-anchored protein antibody, C19orf4 antibody, TM59L_HUMAN antibody, Tmem59l antibody, Transmembrane protein 59-like antibody, Transmembrane protein 59L antibody
-
UniProt
- Q9UK28
Target
-