Telefon:
+49 (0)241 95 163 153
Fax:
+49 (0)241 95 163 155
E-Mail:
orders@antikoerper-online.de

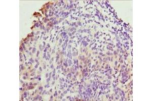
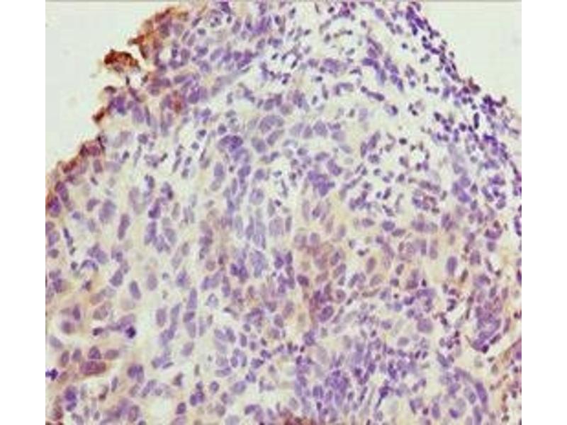
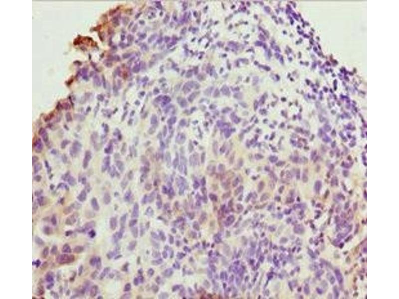
TMEM43 Antikörper (AA 80-310)

Der Kaninchen Polyklonal anti-TMEM43 Antikörper wird verwendet zum Nachweis von TMEM43 in Proben von Human. Er wurde validiert für IHC und ELISA.
Produktnummer ABIN7173219
328,90 €
Zzgl. Versandkosten 20,00 € und MwSt
Lieferung nach: Deutschland
Lieferung in 11 bis 15 Werktagen

Kurzübersicht für TMEM43 Antikörper (AA 80-310) (ABIN7173219)

Target

Alle TMEM43 Antikörper anzeigen
TMEM43 (Transmembrane Protein 43 (TMEM43))

Reaktivität

  • 39
  • 22
  • 21
Human

Wirt

  • 39
Kaninchen

Klonalität

  • 22
  • 17
Polyklonal

Konjugat

  • 12
  • 4
  • 3
  • 2
  • 2
  • 2
  • 2
  • 2
  • 2
  • 2
  • 2
  • 2
  • 1
  • 1
Dieser TMEM43 Antikörper ist unkonjugiert

Applikation

  • 35
  • 28
  • 12
  • 2
  • 1
Immunohistochemistry (IHC), ELISA
  • Bindungsspezifität

    • 7
    • 6
    • 1
    • 1
    • 1
    • 1
    • 1
    AA 80-310

    Verwendungszweck

    TMEM43 Antibody

    Aufreinigung

    Antigen Affinity Purified

    Immunogen

    Recombinant Human Transmembrane protein 43 protein (80-310AA)

    Isotyp

    IgG
  • Applikationshinweise

    Optimal working dilution should be determined by the investigator.

    Beschränkungen

    Nur für Forschungszwecke einsetzbar
  • Format

    Liquid

    Buffer

    PBS with 0.02 % sodium azide, 50 % glycerol, pH 7.3.

    Konservierungsmittel

    Sodium azide

    Vorsichtsmaßnahmen

    This product contains Sodium azide: a POISONOUS AND HAZARDOUS SUBSTANCE which should be handled by trained staff only.

    Lagerung

    -20 °C,-80 °C

    Informationen zur Lagerung

    Upon receipt, store at -20°C or -80°C. Avoid repeated freeze.
  • Target

    TMEM43 (Transmembrane Protein 43 (TMEM43))

    Andere Bezeichnung

    TMEM43

    Hintergrund

    Background: May have an important role in maintaining nuclear envelope structure by organizing protein complexes at the inner nuclear membrane. Required for retaining emerin at the inner nuclear membrane (By similarity).

    Aliases: TMEM43 antibody, UNQ2564/PRO6244 antibody, Transmembrane protein 43 antibody, Protein LUMA antibody

    UniProt

    Q9BTV4
Sie sind hier:
Chat with us!