×
Aktivieren Sie Javascript in Ihrem Browser, um unsere Webseite optimal zu nutzen.
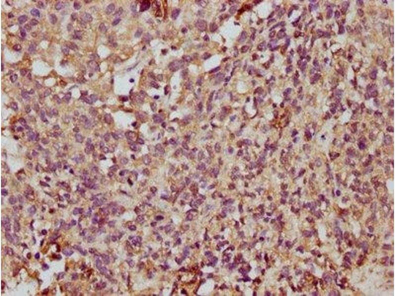
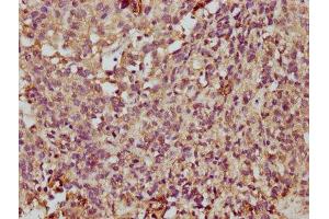
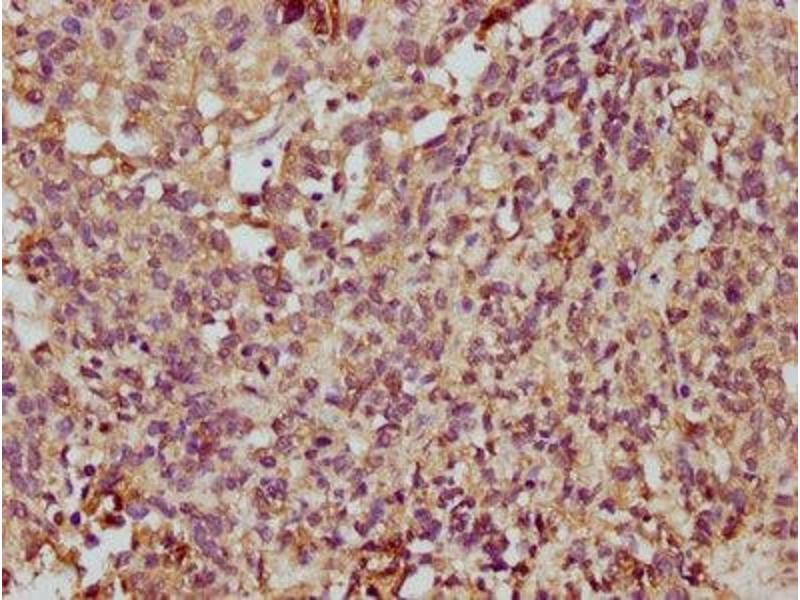
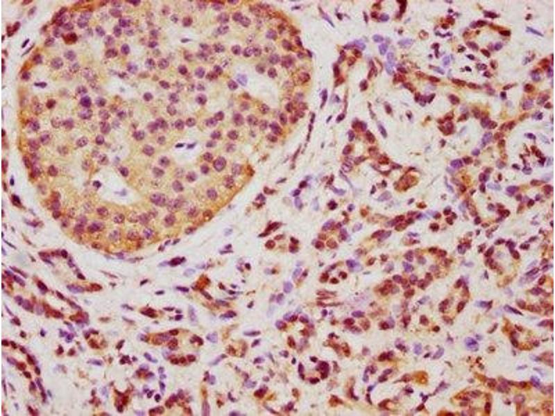
TMEM14A Antikörper (AA 45-78)
Der Kaninchen Polyklonal anti-TMEM14A Antikörper (ABIN7173067) detektiert spezifisch TMEM14A in ELISA, WB, IF und IHC.
Dieser Antikörper reagiert spezifisch mit Proben aus Human.
Produktnummer ABIN7173067
328,90 €
Zzgl. Versandkosten 20,00 € und MwSt
50 μg ABIN7349215
100 μg ABIN7173067
50 μg ABIN7349215
100 μg ABIN7173067
Lieferung in 11 bis 15 Werktagen
Kurzübersicht für TMEM14A Antikörper (AA 45-78) (ABIN7173067)
Target
TMEM14A
(Transmembrane Protein 14A (TMEM14A))
Reaktivität
Human
Wirt
Alle Wirte für TMEM14A Antikörper
Kaninchen
Klonalität
Alle Klonalitäten für TMEM14A Antikörper
Polyklonal
Konjugat
Alle Konjugate für TMEM14A Antikörper
Dieser TMEM14A Antikörper ist unkonjugiert
Applikation
ELISA, Western Blotting (WB), Immunofluorescence (IF), Immunohistochemistry (IHC)
Produktdetails anti-TMEM14A Antikörper
(ausblenden)
Bindungsspezifität
Alle Epitope für TMEM14A Antikörper
AA 45-78
Verwendungszweck
TMEM14A Antibody
Aufreinigung
Protein G purified
Reinheit
>95 %
Immunogen
Recombinant Human Transmembrane protein 14A protein (45-78AA)
Isotyp
IgG
Alternativen
(anzeigen)
Anwendungsinformationen
(ausblenden)
Applikationshinweise
Optimal working dilution should be determined by the investigator.
Beschränkungen
Nur für Forschungszwecke einsetzbar
Handhabung
(ausblenden)
Format
Liquid
Buffer
Preservative: 0.03 % Proclin 300 Constituents: 50 % Glycerol, 0.01M PBS, PH 7.4
Konservierungsmittel
ProClin
Vorsichtsmaßnahmen
This product contains ProClin: a POISONOUS AND HAZARDOUS SUBSTANCE which should be handled by trained staff only.
Lagerung
-20 °C,-80 °C
Informationen zur Lagerung
Upon receipt, store at -20°C or -80°C. Avoid repeated freeze.
Details zu TMEM14A
(ausblenden)
Target
TMEM14A
(Transmembrane Protein 14A (TMEM14A))
Andere Bezeichnung
TMEM14A
Hintergrund
TM14A_HUMAN antibody, TMEM14A antibody, Transmembrane protein 14A antibody
UniProt
Q9Y6G1
Zuletzt angesehen
(ausblenden)
Sie sind hier:
Startseite
anti-TMEM14A Antikörper (AA 45-78) (ABIN7173067)
Chat with us , powered by LiveChat