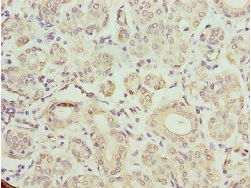
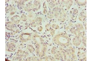
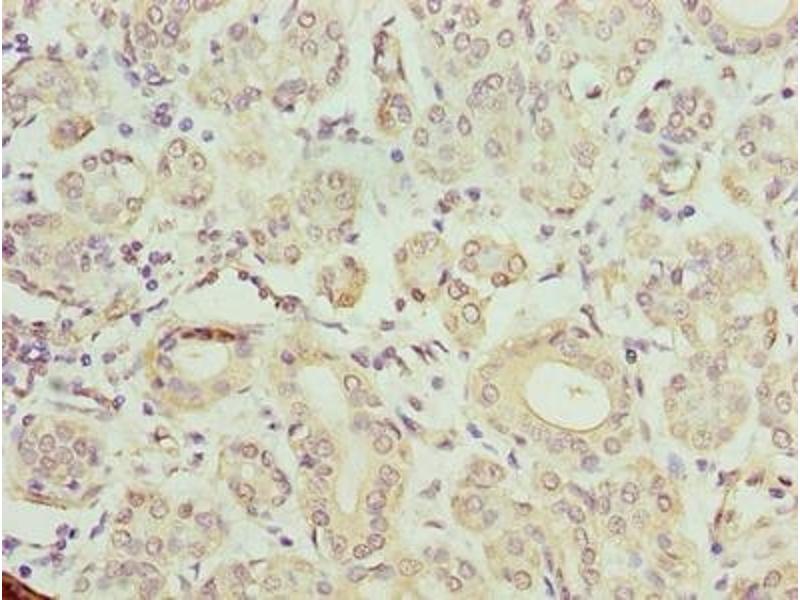
TMCC1 Antikörper (AA 51-300)
Kurzübersicht für TMCC1 Antikörper (AA 51-300) (ABIN7172953)
Target
Reaktivität
Wirt
Klonalität
Konjugat
Applikation
-
-
Bindungsspezifität
- AA 51-300
-
Verwendungszweck
- TMCC1 Antibody
-
Kreuzreaktivität
- Maus
-
Aufreinigung
- Antigen Affinity Purified
-
Immunogen
- Recombinant Human Transmembrane and coiled-coil domains protein 1 protein (51-300AA)
-
Isotyp
- IgG
-
-
-
-
Applikationshinweise
- Optimal working dilution should be determined by the investigator.
-
Beschränkungen
- Nur für Forschungszwecke einsetzbar
-
-
-
Format
- Liquid
-
Buffer
-
Preservative: 0.03 % Proclin 300
Constituents: 50 % Glycerol, 0.01M PBS, PH 7.4 -
Konservierungsmittel
- ProClin
-
Vorsichtsmaßnahmen
- This product contains ProClin: a POISONOUS AND HAZARDOUS SUBSTANCE which should be handled by trained staff only.
-
Lagerung
- -20 °C,-80 °C
-
Informationen zur Lagerung
- Upon receipt, store at -20°C or -80°C. Avoid repeated freeze.
-
-
- TMCC1 (Transmembrane and Coiled-Coil Domain Family 1 (TMCC1))
-
Andere Bezeichnung
- TMCC1
-
Hintergrund
- TMCC1 antibody, KIAA0779 antibody, Transmembrane and coiled-coil domains protein 1 antibody
-
UniProt
- O94876
Target
-