Telefon:
+49 (0)241 95 163 153
Fax:
+49 (0)241 95 163 155
E-Mail:
orders@antikoerper-online.de

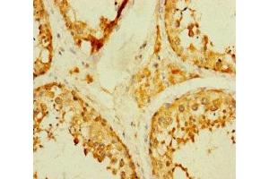
TADA2B Antikörper (AA 29-328)

Dieser Kaninchen Polyklonal Antikörper detektiert spezifisch TADA2B in ELISA und IHC. Es zeigt Reaktivität gegenüber Proben von Human.
Produktnummer ABIN7172741
328,90 €
Zzgl. Versandkosten 20,00 € und MwSt
Lieferung nach: Deutschland
Lieferung in 11 bis 15 Werktagen

Kurzübersicht für TADA2B Antikörper (AA 29-328) (ABIN7172741)

Target

Alle TADA2B Antikörper anzeigen
TADA2B (Transcriptional Adaptor 2B (TADA2B))

Reaktivität

  • 11
  • 2
  • 2
  • 1
  • 1
  • 1
  • 1
Human

Wirt

  • 9
  • 3
Kaninchen

Klonalität

  • 10
  • 2
Polyklonal

Konjugat

  • 8
  • 2
  • 1
  • 1
Dieser TADA2B Antikörper ist unkonjugiert

Applikation

  • 7
  • 7
  • 2
  • 1
  • 1
ELISA, Immunohistochemistry (IHC)
  • Bindungsspezifität

    • 4
    • 2
    • 1
    • 1
    • 1
    • 1
    AA 29-328

    Verwendungszweck

    TADA2B Antibody

    Aufreinigung

    Protein G purified

    Reinheit

    >95 %

    Immunogen

    Recombinant Human Transcriptional adapter 2-beta protein (29-328AA)

    Isotyp

    IgG
  • Applikationshinweise

    Optimal working dilution should be determined by the investigator.

    Beschränkungen

    Nur für Forschungszwecke einsetzbar
  • Format

    Liquid

    Buffer

    Preservative: 0.03 % Proclin 300
    Constituents: 50 % Glycerol, 0.01M PBS, PH 7.4

    Konservierungsmittel

    ProClin

    Vorsichtsmaßnahmen

    This product contains ProClin: a POISONOUS AND HAZARDOUS SUBSTANCE which should be handled by trained staff only.

    Lagerung

    -20 °C,-80 °C

    Informationen zur Lagerung

    Upon receipt, store at -20°C or -80°C. Avoid repeated freeze.
  • Target

    TADA2B (Transcriptional Adaptor 2B (TADA2B))

    Andere Bezeichnung

    TADA2B

    Hintergrund

    Background: Coactivates PAX5-dependent transcription together with either SMARCA4 or GCN5L2.

    Aliases: TADA2B antibody, ADA2B antibody, Transcriptional adapter 2-beta antibody, ADA2-like protein beta antibody, ADA2-beta antibody

    UniProt

    Q86TJ2

    Pathways

    Chromatin Binding
Sie sind hier:
Chat with us!