×
Aktivieren Sie Javascript in Ihrem Browser, um unsere Webseite optimal zu nutzen.
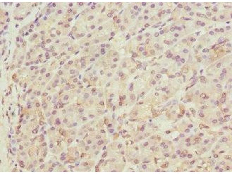
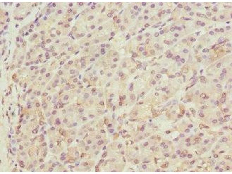
THADA Antikörper (AA 1684-1953)
Der Kaninchen Polyklonal anti-THADA Antikörper (ABIN7172143) detektiert spezifisch THADA in ELISA und IHC.
Dieser Antikörper reagiert spezifisch mit Proben aus Human.
Produktnummer ABIN7172143
328,90 €
Zzgl. Versandkosten 20,00 € und MwSt
50 μL ABIN7363199
100 μL ABIN7172143
50 μL ABIN7363199
100 μL ABIN7172143
Lieferung in 11 bis 15 Werktagen
Kurzübersicht für THADA Antikörper (AA 1684-1953) (ABIN7172143)
Target
THADA
(Thyroid adenoma-associated protein (THADA))
Reaktivität
Alle Reaktivitäten für THADA Antikörper
Human
Wirt
Alle Wirte für THADA Antikörper
Kaninchen
Klonalität
Alle Klonalitäten für THADA Antikörper
Polyklonal
Konjugat
Alle Konjugate für THADA Antikörper
Dieser THADA Antikörper ist unkonjugiert
Applikation
Alle Applikationen für THADA Antikörper
ELISA, Immunohistochemistry (IHC)
Produktdetails anti-THADA Antikörper
(ausblenden)
Bindungsspezifität
Alle Epitope für THADA Antikörper
AA 1684-1953
Verwendungszweck
THADA Antibody
Aufreinigung
Antigen Affinity Purified
Immunogen
Recombinant Human Thyroid adenoma-associated protein (1684-1953AA)
Isotyp
IgG
Alternativen
(anzeigen)
Anwendungsinformationen
(ausblenden)
Applikationshinweise
Optimal working dilution should be determined by the investigator.
Beschränkungen
Nur für Forschungszwecke einsetzbar
Handhabung
(ausblenden)
Format
Liquid
Buffer
PBS with 0.02 % sodium azide, 50 % glycerol, pH 7.3.
Konservierungsmittel
Sodium azide
Vorsichtsmaßnahmen
This product contains Sodium azide: a POISONOUS AND HAZARDOUS SUBSTANCE which should be handled by trained staff only.
Lagerung
-20 °C,-80 °C
Informationen zur Lagerung
Upon receipt, store at -20°C or -80°C. Avoid repeated freeze.
Details zu THADA
(ausblenden)
Target
THADA
(Thyroid adenoma-associated protein (THADA))
Andere Bezeichnung
THADA
Hintergrund
THADA antibody, GITA antibody, KIAA1767 antibody, Thyroid adenoma-associated protein antibody, Gene inducing thyroid adenomas protein antibody
UniProt
Q6YHU6
Zuletzt angesehen
(ausblenden)
Sie sind hier:
Startseite
anti-THADA Antikörper (AA 1684-1953) (ABIN7172143)
Chat with us , powered by LiveChat