Telefon:
+49 (0)241 95 163 153
Fax:
+49 (0)241 95 163 155
E-Mail:
orders@antikoerper-online.de

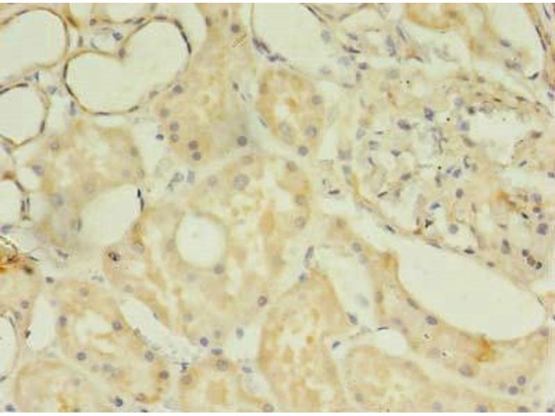
TSGA13 Antikörper (AA 1-275)

Der Kaninchen Polyklonal anti-TSGA13 Antikörper wird verwendet zum Nachweis von TSGA13 in Proben von Human. Er wurde validiert für ELISA, WB und IHC.
Produktnummer ABIN7171830
328,90 €
Zzgl. Versandkosten 20,00 € und MwSt
Lieferung nach: Deutschland
Lieferung in 11 bis 15 Werktagen

Kurzübersicht für TSGA13 Antikörper (AA 1-275) (ABIN7171830)

Target

TSGA13 (Testis Specific, 13 (TSGA13))

Reaktivität

  • 17
  • 2
  • 1
  • 1
Human

Wirt

  • 17
Kaninchen

Klonalität

  • 17
Polyklonal

Konjugat

  • 8
  • 3
  • 2
  • 2
  • 1
  • 1
Dieser TSGA13 Antikörper ist unkonjugiert

Applikation

ELISA, Western Blotting (WB), Immunohistochemistry (IHC)
  • Bindungsspezifität

    • 8
    • 4
    • 4
    • 2
    • 1
    • 1
    AA 1-275

    Verwendungszweck

    TSGA13 Antibody

    Aufreinigung

    Protein G purified

    Reinheit

    >95 %

    Immunogen

    Recombinant Human Testis-specific gene 13 protein (1-275AA)

    Isotyp

    IgG
  • Applikationshinweise

    Optimal working dilution should be determined by the investigator.

    Beschränkungen

    Nur für Forschungszwecke einsetzbar
  • Format

    Liquid

    Buffer

    Preservative: 0.03 % Proclin 300
    Constituents: 50 % Glycerol, 0.01M PBS, PH 7.4

    Konservierungsmittel

    ProClin

    Vorsichtsmaßnahmen

    This product contains ProClin: a POISONOUS AND HAZARDOUS SUBSTANCE which should be handled by trained staff only.

    Lagerung

    -20 °C,-80 °C

    Informationen zur Lagerung

    Upon receipt, store at -20°C or -80°C. Avoid repeated freeze.
  • Target

    TSGA13 (Testis Specific, 13 (TSGA13))

    Andere Bezeichnung

    TSGA13

    Hintergrund

    Background: positive regulation of protein targeting to mitochondrion

    Aliases: TSGA13 antibody, Testis-specific gene 13 protein antibody

    UniProt

    Q96PP4
Sie sind hier:
Chat with us!