Telefon:
+49 (0)241 95 163 153
Fax:
+49 (0)241 95 163 155
E-Mail:
orders@antikoerper-online.de

TTI1 Antikörper (AA 692-858)

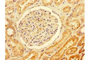
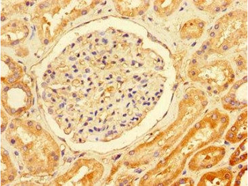
Der Kaninchen Polyklonal anti-TTI1 Antikörper wird verwendet zum Nachweis von TTI1 in Proben von Human. Er wurde validiert für ELISA, IHC und IF.
Produktnummer ABIN7171701
328,90 €
Zzgl. Versandkosten 20,00 € und MwSt
Lieferung nach: Deutschland
Lieferung in 11 bis 15 Werktagen

Kurzübersicht für TTI1 Antikörper (AA 692-858) (ABIN7171701)

Target

Alle TTI1 Antikörper anzeigen
TTI1 (TELO2 Interacting Protein 1 (TTI1))

Reaktivität

  • 24
  • 9
  • 1
  • 1
  • 1
  • 1
Human

Wirt

  • 24
Kaninchen

Klonalität

  • 24
Polyklonal

Konjugat

  • 8
  • 3
  • 3
  • 2
  • 1
  • 1
  • 1
  • 1
  • 1
  • 1
  • 1
  • 1
Dieser TTI1 Antikörper ist unkonjugiert

Applikation

  • 11
  • 11
  • 3
  • 1
  • 1
ELISA, Immunohistochemistry (IHC), Immunofluorescence (IF)
  • Bindungsspezifität

    • 7
    • 4
    • 3
    • 2
    • 1
    • 1
    AA 692-858

    Verwendungszweck

    TTI1 Antibody

    Aufreinigung

    Protein G purified

    Reinheit

    >95 %

    Immunogen

    Recombinant Human TELO2-interacting protein 1 homolog protein (692-858AA)

    Isotyp

    IgG
  • Applikationshinweise

    Optimal working dilution should be determined by the investigator.

    Beschränkungen

    Nur für Forschungszwecke einsetzbar
  • Format

    Liquid

    Buffer

    Preservative: 0.03 % Proclin 300
    Constituents: 50 % Glycerol, 0.01M PBS, PH 7.4

    Konservierungsmittel

    ProClin

    Vorsichtsmaßnahmen

    This product contains ProClin: a POISONOUS AND HAZARDOUS SUBSTANCE which should be handled by trained staff only.

    Lagerung

    -20 °C,-80 °C

    Informationen zur Lagerung

    Upon receipt, store at -20°C or -80°C. Avoid repeated freeze.
  • Target

    TTI1 (TELO2 Interacting Protein 1 (TTI1))

    Andere Bezeichnung

    TTI1

    Hintergrund

    Background: Regulator of the DNA damage response (DDR). Part of the TTT complex that is required to stabilize protein levels of the phosphatidylinositol 3-kinase-related protein kinase (PIKK) family proteins. The TTT complex is involved in the cellular resistance to DNA damage stresses, like ionizing radiation (IR), ultraviolet (UV) and mitomycin C (MMC). Together with the TTT complex and HSP90 may participate in the proper folding of newly synthesized PIKKs. Promotes assembly, stabilizes and maintains the activity of mTORC1 and mTORC2 complexes, which regulate cell growth and survival in response to nutrient and hormonal signals.

    Aliases: TTI1 antibody, KIAA0406 antibody, SMG10 antibody, TELO2-interacting protein 1 homolog antibody, Protein SMG10 antibody

    UniProt

    O43156
Sie sind hier:
Chat with us!