Telefon:
+49 (0)241 95 163 153
Fax:
+49 (0)241 95 163 155
E-Mail:
orders@antikoerper-online.de

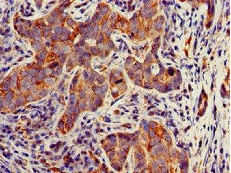
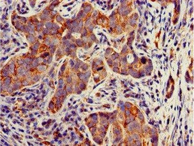
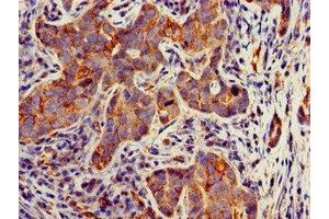
TECPR2 Antikörper (AA 516-783)

Der Kaninchen Polyklonal anti-TECPR2 Antikörper (ABIN7171684) detektiert spezifisch TECPR2 in ELISA, IHC und IF. Dieser Antikörper reagiert spezifisch mit Proben aus Human.
Produktnummer ABIN7171684
328,90 €
Zzgl. Versandkosten 20,00 € und MwSt
Lieferung nach: Deutschland
Lieferung in 11 bis 15 Werktagen

Kurzübersicht für TECPR2 Antikörper (AA 516-783) (ABIN7171684)

Target

TECPR2 (Tectonin beta-Propeller Repeat Containing 2 (TECPR2))

Reaktivität

Human

Wirt

  • 5
Kaninchen

Klonalität

  • 5
Polyklonal

Konjugat

  • 2
  • 1
  • 1
  • 1
Dieser TECPR2 Antikörper ist unkonjugiert

Applikation

ELISA, Immunohistochemistry (IHC), Immunofluorescence (IF)
  • Bindungsspezifität

    • 4
    • 1
    AA 516-783

    Verwendungszweck

    TECPR2 Antibody

    Aufreinigung

    Protein G purified

    Reinheit

    >95 %

    Immunogen

    Recombinant Human Tectonin beta-propeller repeat-containing protein 2 protein (516-783AA)

    Isotyp

    IgG
  • Applikationshinweise

    Optimal working dilution should be determined by the investigator.

    Beschränkungen

    Nur für Forschungszwecke einsetzbar
  • Format

    Liquid

    Buffer

    Preservative: 0.03 % Proclin 300
    Constituents: 50 % Glycerol, 0.01M PBS, PH 7.4

    Konservierungsmittel

    ProClin

    Vorsichtsmaßnahmen

    This product contains ProClin: a POISONOUS AND HAZARDOUS SUBSTANCE which should be handled by trained staff only.

    Lagerung

    -20 °C,-80 °C

    Informationen zur Lagerung

    Upon receipt, store at -20°C or -80°C. Avoid repeated freeze.
  • Target

    TECPR2 (Tectonin beta-Propeller Repeat Containing 2 (TECPR2))

    Andere Bezeichnung

    TECPR2

    Hintergrund

    Background: Probably plays a role as positive regulator of autophagy.

    Aliases: TECPR2 antibody, KIAA0297 antibody, KIAA0329 antibody, Tectonin beta-propeller repeat-containing protein 2 antibody, WD repeat-containing protein KIAA0329/KIAA0297 antibody

    UniProt

    O15040
Sie sind hier:
Chat with us!