Telefon:
+49 (0)241 95 163 153
Fax:
+49 (0)241 95 163 155
E-Mail:
orders@antikoerper-online.de

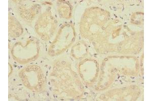
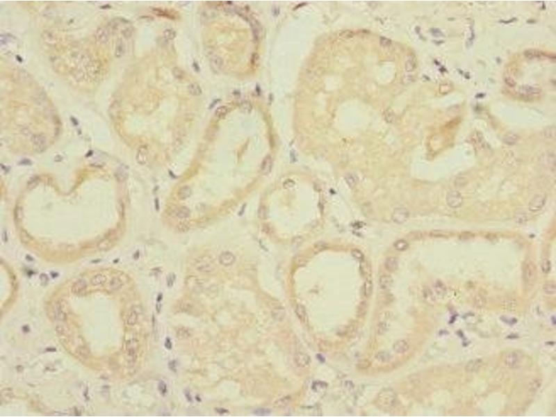
TAPBPL Antikörper (AA 201-468)

Der Kaninchen Polyklonal anti-TAPBPL Antikörper (ABIN7171504) detektiert spezifisch TAPBPL in ELISA und IHC. Dieser Antikörper reagiert spezifisch mit Proben aus Human.
Produktnummer ABIN7171504
328,90 €
Zzgl. Versandkosten 20,00 € und MwSt
Lieferung nach: Deutschland
Lieferung in 11 bis 15 Werktagen

Kurzübersicht für TAPBPL Antikörper (AA 201-468) (ABIN7171504)

Target

Alle TAPBPL Antikörper anzeigen
TAPBPL (TAP Binding Protein-Like (TAPBPL))

Reaktivität

  • 26
  • 4
  • 3
  • 2
  • 2
  • 2
  • 2
  • 1
  • 1
  • 1
  • 1
  • 1
Human

Wirt

  • 20
  • 7
Kaninchen

Klonalität

  • 21
  • 6
Polyklonal

Konjugat

  • 18
  • 3
  • 2
  • 2
  • 1
  • 1
Dieser TAPBPL Antikörper ist unkonjugiert

Applikation

  • 22
  • 12
  • 3
  • 3
  • 2
  • 1
ELISA, Immunohistochemistry (IHC)
  • Bindungsspezifität

    • 7
    • 4
    • 3
    • 3
    • 2
    • 1
    • 1
    • 1
    • 1
    AA 201-468

    Verwendungszweck

    TAPBPL Antibody

    Aufreinigung

    Protein G purified

    Reinheit

    >95 %

    Immunogen

    Recombinant Human Tapasin-related protein (201-468AA)

    Isotyp

    IgG
  • Applikationshinweise

    Optimal working dilution should be determined by the investigator.

    Beschränkungen

    Nur für Forschungszwecke einsetzbar
  • Format

    Liquid

    Buffer

    Preservative: 0.03 % Proclin 300
    Constituents: 50 % Glycerol, 0.01M PBS, PH 7.4

    Konservierungsmittel

    ProClin

    Vorsichtsmaßnahmen

    This product contains ProClin: a POISONOUS AND HAZARDOUS SUBSTANCE which should be handled by trained staff only.

    Lagerung

    -20 °C,-80 °C

    Informationen zur Lagerung

    Upon receipt, store at -20°C or -80°C. Avoid repeated freeze.
  • Target

    TAPBPL (TAP Binding Protein-Like (TAPBPL))

    Andere Bezeichnung

    TAPBPL

    Hintergrund

    Background: Component of the antigen processing and presentation pathway, which binds to MHC class I coupled with beta2-microglobulin/B2M. Association between TAPBPR and MHC class I occurs in the absence of a functional peptide-loading complex (PLC). Expression seems to slow down and down-regulate MHC class I surface expression.

    Aliases: FLJ10143 antibody, TAP binding protein like antibody, TAP binding protein related antibody, TAP binding protein related protein antibody, TAP-binding protein-like antibody, TAP-binding protein-related protein antibody, Tapasin like antibody, Tapasin R antibody, Tapasin Related Protein antibody, Tapasin-like antibody, TAPASIN-R antibody, Tapasin-related protein antibody, TAPBP L antibody, TAPBP R antibody, TAPBP-R antibody, Tapbpl antibody, TAPBPR antibody, TPSNR_HUMAN antibody

    UniProt

    Q9BX59
Sie sind hier:
Chat with us!