Telefon:
+49 (0)241 95 163 153
Fax:
+49 (0)241 95 163 155
E-Mail:
orders@antikoerper-online.de

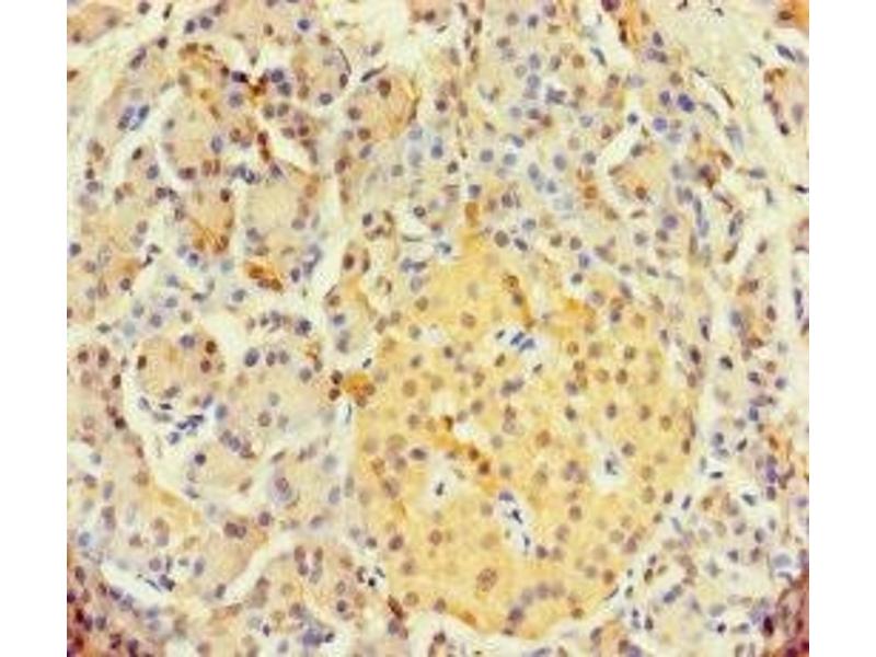
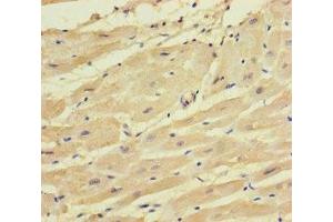
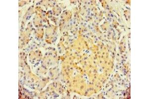
SYCN Antikörper (AA 22-134)

Dieser Kaninchen Polyklonal Antikörper detektiert spezifisch SYCN in ELISA und IHC. Es zeigt Reaktivität gegenüber Proben von Human.
Produktnummer ABIN7171175
328,90 €
Zzgl. Versandkosten 20,00 € und MwSt
Lieferung nach: Deutschland
Lieferung in 11 bis 15 Werktagen

Kurzübersicht für SYCN Antikörper (AA 22-134) (ABIN7171175)

Target

Alle SYCN Antikörper anzeigen
SYCN (Syncollin (SYCN))

Reaktivität

  • 12
  • 3
  • 3
  • 2
  • 1
  • 1
  • 1
Human

Wirt

  • 11
  • 2
Kaninchen

Klonalität

  • 11
  • 2
Polyklonal

Konjugat

  • 9
  • 2
  • 1
  • 1
Dieser SYCN Antikörper ist unkonjugiert

Applikation

  • 9
  • 4
  • 3
  • 3
  • 3
  • 1
  • 1
  • 1
ELISA, Immunohistochemistry (IHC)
  • Bindungsspezifität

    • 5
    • 2
    • 2
    • 1
    • 1
    AA 22-134

    Verwendungszweck

    SYCN Antibody

    Aufreinigung

    Protein G purified

    Reinheit

    >95 %

    Immunogen

    Recombinant Human Syncollin protein (22-134AA)

    Isotyp

    IgG
  • Applikationshinweise

    Optimal working dilution should be determined by the investigator.

    Beschränkungen

    Nur für Forschungszwecke einsetzbar
  • Format

    Liquid

    Buffer

    Preservative: 0.03 % Proclin 300
    Constituents: 50 % Glycerol, 0.01M PBS, PH 7.4

    Konservierungsmittel

    ProClin

    Vorsichtsmaßnahmen

    This product contains ProClin: a POISONOUS AND HAZARDOUS SUBSTANCE which should be handled by trained staff only.

    Lagerung

    -20 °C,-80 °C

    Informationen zur Lagerung

    Upon receipt, store at -20°C or -80°C. Avoid repeated freeze.
  • Target

    SYCN (Syncollin (SYCN))

    Andere Bezeichnung

    SYCN

    Hintergrund

    Background: Functions in exocytosis in pancreatic acinar cells regulating the fusion of zymogen granules with each other. May have a pore-forming activity on membranes and regulate exocytosis in other exocrine tissues.

    Aliases: 0910001K16Rik antibody, 1810038B08Rik antibody, FLJ27441 antibody, INSSA1 antibody, Insulin synthesis associated protein 1 antibody, Insulin synthesis-associated protein 1 antibody, Sycn antibody, SYCN_HUMAN antibody, SYL antibody, Syncollin antibody

    UniProt

    Q0VAF6
Sie sind hier:
Chat with us!