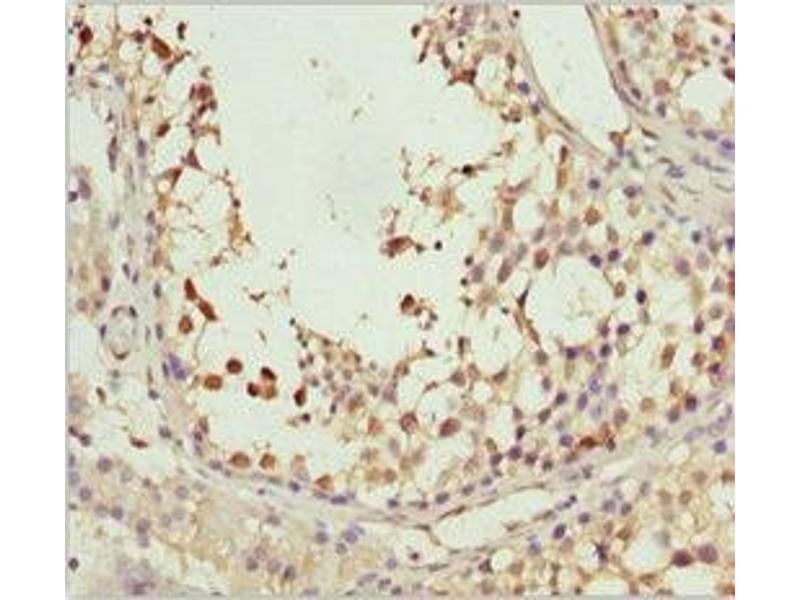
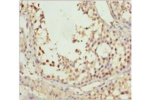
SPRED2 Antikörper (AA 120-300)
Kurzübersicht für SPRED2 Antikörper (AA 120-300) (ABIN7170649)
Target
Alle SPRED2 Antikörper anzeigenReaktivität
Wirt
Klonalität
Konjugat
Applikation
-
-
Bindungsspezifität
- AA 120-300
-
Verwendungszweck
- SPRED2 Antibody
-
Aufreinigung
- Antigen Affinity Purified
-
Immunogen
- Recombinant Human Sprouty-related, EVH1 domain-containing protein 2 protein (120-300AA)
-
Isotyp
- IgG
-
-
-
-
Applikationshinweise
- Optimal working dilution should be determined by the investigator.
-
Beschränkungen
- Nur für Forschungszwecke einsetzbar
-
-
-
Format
- Liquid
-
Buffer
- PBS with 0.02 % sodium azide, 50 % glycerol, pH 7.3.
-
Konservierungsmittel
- Sodium azide
-
Vorsichtsmaßnahmen
- This product contains Sodium azide: a POISONOUS AND HAZARDOUS SUBSTANCE which should be handled by trained staff only.
-
Lagerung
- -20 °C,-80 °C
-
Informationen zur Lagerung
- Upon receipt, store at -20°C or -80°C. Avoid repeated freeze.
-
-
- SPRED2 (Sprouty-Related, EVH1 Domain Containing 2 (SPRED2))
-
Andere Bezeichnung
- SPRED2
-
Hintergrund
-
Background: Tyrosine kinase substrate that inhibits growth-factor-mediated activation of MAP kinase.
Aliases: SPRED2 antibody, Sprouty-related antibody, EVH1 domain-containing protein 2 antibody, Spred-2 antibody
-
UniProt
- Q7Z698
Target
-