Telefon:
+49 (0)241 95 163 153
Fax:
+49 (0)241 95 163 155
E-Mail:
orders@antikoerper-online.de

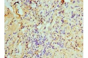
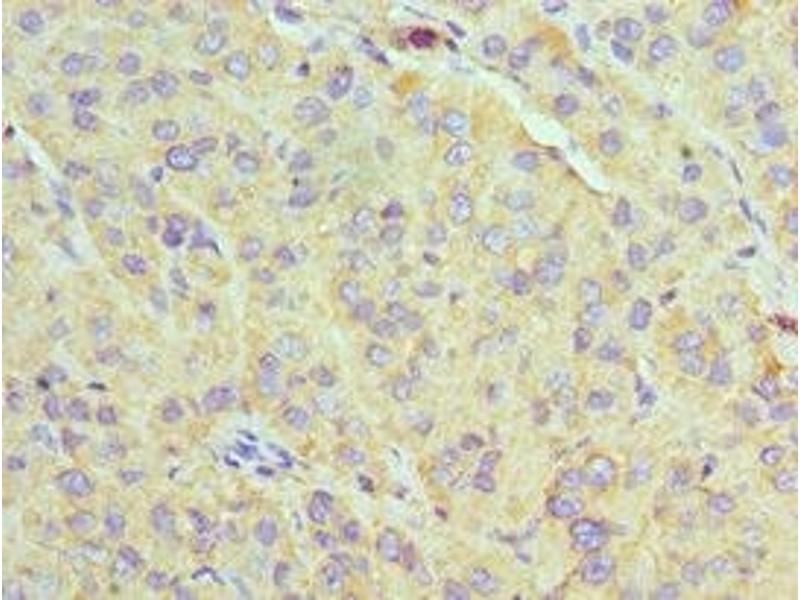
U2AF1 Antikörper (AA 1-240)

Dieser Kaninchen Polyklonal Antikörper detektiert spezifisch U2AF1 in IHC und ELISA. Es zeigt Reaktivität gegenüber Proben von Human.
Produktnummer ABIN7170632
328,90 €
Zzgl. Versandkosten 20,00 € und MwSt
Lieferung nach: Deutschland
Lieferung in 11 bis 15 Werktagen

Kurzübersicht für U2AF1 Antikörper (AA 1-240) (ABIN7170632)

Target

Alle U2AF1 Antikörper anzeigen
U2AF1 (U2 Small Nuclear RNA Auxiliary Factor 1 (U2AF1))

Reaktivität

  • 24
  • 12
  • 7
  • 4
  • 3
  • 3
  • 2
  • 2
  • 2
  • 2
  • 2
  • 1
  • 1
  • 1
  • 1
  • 1
  • 1
Human

Wirt

  • 22
  • 2
Kaninchen

Klonalität

  • 22
  • 2
Polyklonal

Konjugat

  • 24
Dieser U2AF1 Antikörper ist unkonjugiert

Applikation

  • 22
  • 9
  • 8
  • 7
  • 5
  • 2
  • 2
  • 1
  • 1
  • 1
Immunohistochemistry (IHC), ELISA
  • Bindungsspezifität

    • 3
    • 3
    • 2
    • 2
    • 2
    • 2
    • 1
    • 1
    • 1
    • 1
    • 1
    • 1
    • 1
    • 1
    AA 1-240

    Verwendungszweck

    U2AF1 Antibody

    Aufreinigung

    Antigen Affinity Purified

    Immunogen

    Recombinant Human Splicing factor U2AF 35 kDa subunit protein (1-240AA)

    Isotyp

    IgG
  • Applikationshinweise

    Optimal working dilution should be determined by the investigator.

    Beschränkungen

    Nur für Forschungszwecke einsetzbar
  • Format

    Liquid

    Buffer

    PBS with 0.02 % sodium azide, 50 % glycerol, pH 7.3.

    Konservierungsmittel

    Sodium azide

    Vorsichtsmaßnahmen

    This product contains Sodium azide: a POISONOUS AND HAZARDOUS SUBSTANCE which should be handled by trained staff only.

    Lagerung

    -20 °C,-80 °C

    Informationen zur Lagerung

    Upon receipt, store at -20°C or -80°C. Avoid repeated freeze.
  • Target

    U2AF1 (U2 Small Nuclear RNA Auxiliary Factor 1 (U2AF1))

    Andere Bezeichnung

    U2AF1

    Hintergrund

    Background: Plays a critical role in both constitutive and enhancer-dependent splicing by mediating protein-protein interactions and protein-RNA interactions required for accurate 3\\\'-splice site selection. Recruits U2 snRNP to the branch point. Directly mediates interactions between U2AF2 and proteins bound to the enhancers and thus may function as a bridge between U2AF2 and the enhancer complex to recruit it to the adjacent intron.

    Aliases: DKFZp313J1712 antibody, FP793 antibody, Human U2 snRNP auxiliary factor small subunit9 antibody, RN antibody, RNU2AF1 antibody, Splicing factor U2AF 35 kDa subunit antibody, U2 auxiliary factor 35 kDa subunit antibody, U2 small nuclear ribonucleoprotein auxillary factor 35 KD subunit antibody, U2 small nuclear RNA auxiliary factor 1 antibody, U2 snRNP auxiliary factor small subunit antibody, U2(RNU2) small nuclear RNA auxiliary factor 1 antibody, U2(RNU2) small nuclear RNA auxiliary factor binding protein antibody, U2AF1 antibody, U2AF1_HUMAN antibody, U2AF35 antibody, U2AFBP antibody

    UniProt

    Q01081
Sie sind hier:
Chat with us!