Telefon:
+49 (0)241 95 163 153
Fax:
+49 (0)241 95 163 155
E-Mail:
orders@antikoerper-online.de

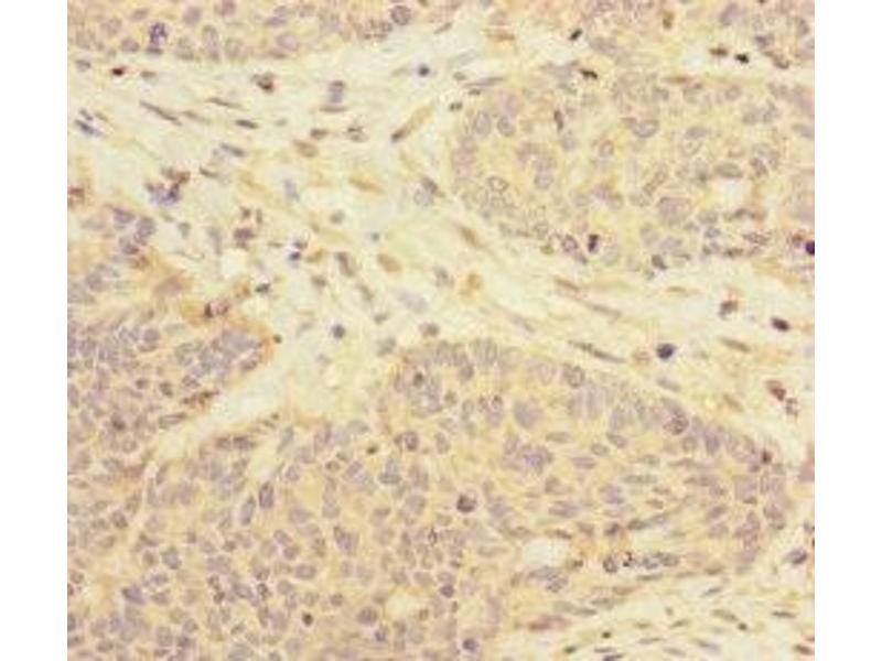
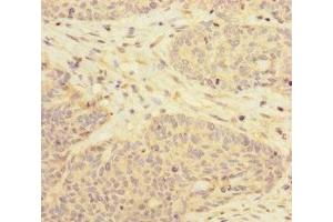
RBM17 Antikörper (AA 1-240)

Dieser Kaninchen Polyklonal Antikörper detektiert spezifisch RBM17 in WB, IHC und ELISA. Es zeigt Reaktivität gegenüber Proben von Human.
Produktnummer ABIN7170629
328,90 €
Zzgl. Versandkosten 20,00 € und MwSt
Lieferung nach: Deutschland
Lieferung in 11 bis 15 Werktagen

Kurzübersicht für RBM17 Antikörper (AA 1-240) (ABIN7170629)

Target

Alle RBM17 Antikörper anzeigen
RBM17 (RNA Binding Motif Protein 17 (RBM17))

Reaktivität

  • 25
  • 7
  • 4
  • 2
  • 2
  • 2
  • 1
  • 1
  • 1
  • 1
  • 1
Human

Wirt

  • 18
  • 8
Kaninchen

Klonalität

  • 19
  • 7
Polyklonal

Konjugat

  • 15
  • 1
  • 1
  • 1
  • 1
  • 1
  • 1
  • 1
  • 1
  • 1
  • 1
  • 1
Dieser RBM17 Antikörper ist unkonjugiert

Applikation

  • 13
  • 11
  • 7
  • 7
  • 5
  • 4
  • 2
  • 2
  • 1
Western Blotting (WB), Immunohistochemistry (IHC), ELISA
  • Bindungsspezifität

    • 6
    • 3
    • 2
    • 2
    • 1
    AA 1-240

    Verwendungszweck

    RBM17 Antibody

    Aufreinigung

    Antigen Affinity Purified

    Immunogen

    Recombinant Human Splicing factor 45 protein (1-240AA)

    Isotyp

    IgG
  • Applikationshinweise

    Optimal working dilution should be determined by the investigator.

    Beschränkungen

    Nur für Forschungszwecke einsetzbar
  • Format

    Liquid

    Buffer

    PBS with 0.02 % sodium azide, 50 % glycerol, pH 7.3.

    Konservierungsmittel

    Sodium azide

    Vorsichtsmaßnahmen

    This product contains Sodium azide: a POISONOUS AND HAZARDOUS SUBSTANCE which should be handled by trained staff only.

    Lagerung

    -20 °C,-80 °C

    Informationen zur Lagerung

    Upon receipt, store at -20°C or -80°C. Avoid repeated freeze.
  • Target

    RBM17 (RNA Binding Motif Protein 17 (RBM17))

    Andere Bezeichnung

    RBM17

    Hintergrund

    Background: Splice factor that binds to the single-stranded 3\\\'AG at the exon/intron border and promotes its utilization in the second catalytic step. Involved in the regulation of alternative splicing and the utilization of cryptic splice sites. Promotes the utilization of a cryptic splice site created by the beta-110 mutation in the HBB gene. The resulting frameshift leads to sickle cell anemia.

    Aliases: 45 kDa-splicing factor antibody, RBM 17 antibody, Rbm17 antibody, RNA binding motif protein 17 antibody, RNA-binding motif protein 17 antibody, SPF 45 antibody, SPF45 antibody, SPF45_HUMAN antibody, Splicing factor (45 kD) antibody, Splicing factor (45kD) antibody, Splicing factor 45 antibody, Splicing factor 45 kDa antibody, Splicing factor 45 kDa antibody

    UniProt

    Q96I25
Sie sind hier:
Chat with us!