Telefon:
+49 (0)241 95 163 153
Fax:
+49 (0)241 95 163 155
E-Mail:
orders@antikoerper-online.de

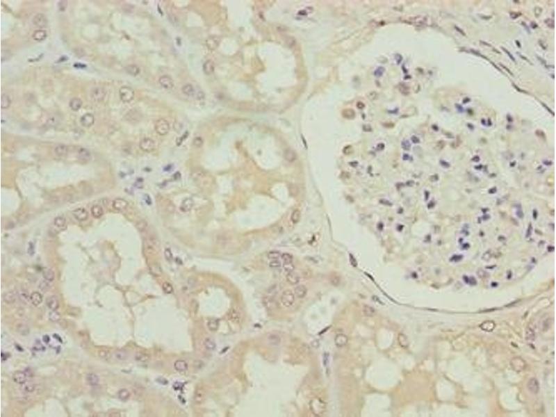
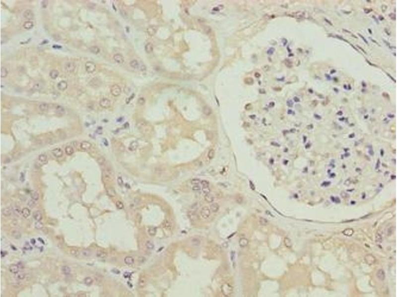
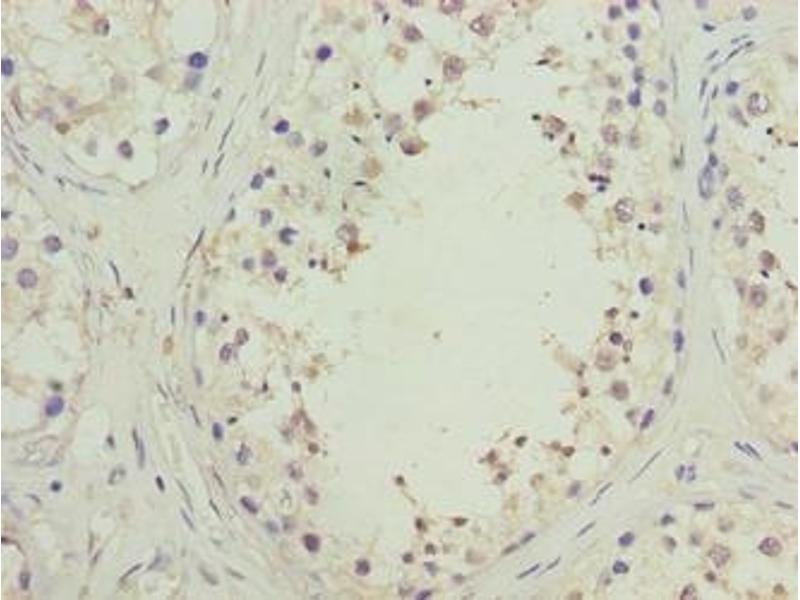
SPACA1 Antikörper (AA 30-221)

Der Kaninchen Polyklonal anti-SPACA1 Antikörper (ABIN7170448) detektiert spezifisch SPACA1 in ELISA und IHC. Dieser Antikörper reagiert spezifisch mit Proben aus Human.
Produktnummer ABIN7170448
328,90 €
Zzgl. Versandkosten 20,00 € und MwSt
Lieferung nach: Deutschland
Lieferung in 11 bis 15 Werktagen

Kurzübersicht für SPACA1 Antikörper (AA 30-221) (ABIN7170448)

Target

Alle SPACA1 Antikörper anzeigen
SPACA1 (Sperm Acrosome Associated 1 (SPACA1))

Reaktivität

  • 23
  • 2
  • 1
Human

Wirt

  • 23
Kaninchen

Klonalität

  • 23
Polyklonal

Konjugat

  • 11
  • 4
  • 3
  • 2
  • 2
  • 1
Dieser SPACA1 Antikörper ist unkonjugiert

Applikation

  • 16
  • 14
  • 13
  • 12
  • 3
  • 1
ELISA, Immunohistochemistry (IHC)
  • Bindungsspezifität

    • 12
    • 6
    • 4
    • 1
    • 1
    • 1
    • 1
    AA 30-221

    Verwendungszweck

    SPACA1 Antibody

    Aufreinigung

    Protein G purified

    Reinheit

    >95 %

    Immunogen

    Recombinant Human Sperm acrosome membrane-associated protein 1 protein (30-221AA)

    Isotyp

    IgG
  • Applikationshinweise

    Optimal working dilution should be determined by the investigator.

    Beschränkungen

    Nur für Forschungszwecke einsetzbar
  • Format

    Liquid

    Buffer

    Preservative: 0.03 % Proclin 300
    Constituents: 50 % Glycerol, 0.01M PBS, PH 7.4

    Konservierungsmittel

    ProClin

    Vorsichtsmaßnahmen

    This product contains ProClin: a POISONOUS AND HAZARDOUS SUBSTANCE which should be handled by trained staff only.

    Lagerung

    -20 °C,-80 °C

    Informationen zur Lagerung

    Upon receipt, store at -20°C or -80°C. Avoid repeated freeze.
  • Target

    SPACA1 (Sperm Acrosome Associated 1 (SPACA1))

    Andere Bezeichnung

    SPACA1

    Hintergrund

    Background: May be involved in sperm-egg fusion.

    Aliases: SACA1_HUMAN antibody, SAMP32 antibody, SPACA1 antibody, Sperm acrosomal membrane-associated protein 32 antibody, Sperm acrosome membrane-associated protein 1 antibody

    UniProt

    Q9HBV2
Sie sind hier:
Chat with us!