Telefon:
+49 (0)241 95 163 153
Fax:
+49 (0)241 95 163 155
E-Mail:
orders@antikoerper-online.de

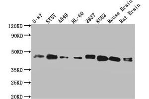
SPPL3 Antikörper (AA 213-263)

Der Kaninchen Polyklonal anti-SPPL3 Antikörper wird verwendet zum Nachweis von SPPL3 in Proben von Human. Er wurde validiert für ELISA und WB.
Produktnummer ABIN7169631
328,90 €
Zzgl. Versandkosten 20,00 € und MwSt
Lieferung nach: Deutschland
Lieferung in 11 bis 15 Werktagen

Kurzübersicht für SPPL3 Antikörper (AA 213-263) (ABIN7169631)

Target

Alle SPPL3 Antikörper anzeigen
SPPL3 (Signal Peptide Peptidase 3 (SPPL3))

Reaktivität

  • 14
  • 1
  • 1
  • 1
  • 1
  • 1
  • 1
  • 1
  • 1
  • 1
  • 1
  • 1
Human

Wirt

  • 14
Kaninchen

Klonalität

  • 14
Polyklonal

Konjugat

  • 5
  • 3
  • 2
  • 2
  • 1
  • 1
Dieser SPPL3 Antikörper ist unkonjugiert

Applikation

  • 10
  • 9
  • 1
ELISA, Western Blotting (WB)
  • Bindungsspezifität

    • 7
    • 4
    • 3
    • 1
    AA 213-263

    Verwendungszweck

    SPPL3 Antibody

    Kreuzreaktivität

    Maus, Ratte

    Aufreinigung

    Protein G purified

    Reinheit

    >95 %

    Immunogen

    Recombinant Human Signal peptide peptidase-like 3 protein (213-263AA)

    Isotyp

    IgG
  • Applikationshinweise

    Optimal working dilution should be determined by the investigator.

    Beschränkungen

    Nur für Forschungszwecke einsetzbar
  • Format

    Liquid

    Buffer

    Preservative: 0.03 % Proclin 300
    Constituents: 50 % Glycerol, 0.01M PBS, PH 7.4

    Konservierungsmittel

    ProClin

    Vorsichtsmaßnahmen

    This product contains ProClin: a POISONOUS AND HAZARDOUS SUBSTANCE which should be handled by trained staff only.

    Lagerung

    -20 °C,-80 °C

    Informationen zur Lagerung

    Upon receipt, store at -20°C or -80°C. Avoid repeated freeze.
  • Target

    SPPL3 (Signal Peptide Peptidase 3 (SPPL3))

    Andere Bezeichnung

    SPPL3

    Hintergrund

    Background: Intramembrane-cleaving aspartic protease (I-CLiP) that cleaves type II membrane protein substrates in or close to their luminal transmembrane domain boundaries (PubMed:16873890, PubMed:25354954, PubMed:25827571). Acts like a sheddase by mediating the proteolytic release and secretion of active site-containing ectodomains of glycan-modifiying glycosidase and glycosyltransferase enzymes such as MGAT5, B4GAT1 and B4GALT1 (PubMed:25354954, PubMed:25827571). Catalyzes the intramembrane cleavage of the envelope glycoprotein gp130 and/or the leader peptide gp18LP of the simian foamy virus independent of prior ectodomain shedding by furin or furin-like proprotein convertase (PC)-mediated cleavage proteolysis (PubMed:23132852). May also have the ability to serve as a shedding protease for subsequent intramembrane proteolysis by SPPL2A and SPPL2B of the envelope glycoprotein gp130 (PubMed:23132852). Plays a role in the regulation of cellular glycosylation processes (PubMed:25354954). Required to link T-cell antigen receptor (TCR) and calcineurin-NFAT signaling cascades in lymphocytes by promoting the association of STIM1 and ORAI1 during store-operated calcium entry (SOCE) in a protease-independent manner (PubMed:25384971).

    Aliases: SPPL3 antibody, IMP2 antibody, PSL4 antibody, Signal peptide peptidase-like 3 antibody, SPP-like 3 antibody, EC 3.4.23.- antibody, Intramembrane protease 2 antibody, IMP-2 antibody, Presenilin homologous protein 1 antibody, PSH1 antibody, Presenilin-like protein 4 antibody

    UniProt

    Q8TCT6
Sie sind hier:
Chat with us!