Telefon:
+49 (0)241 95 163 153
Fax:
+49 (0)241 95 163 155
E-Mail:
orders@antikoerper-online.de

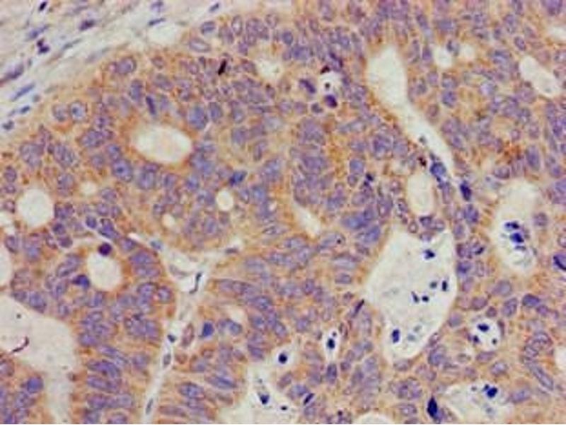
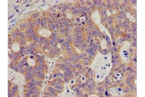
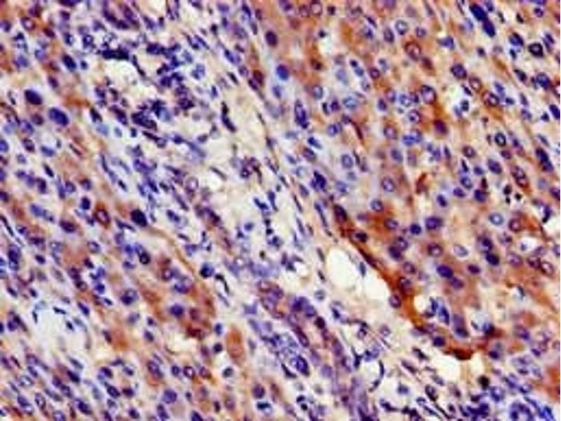
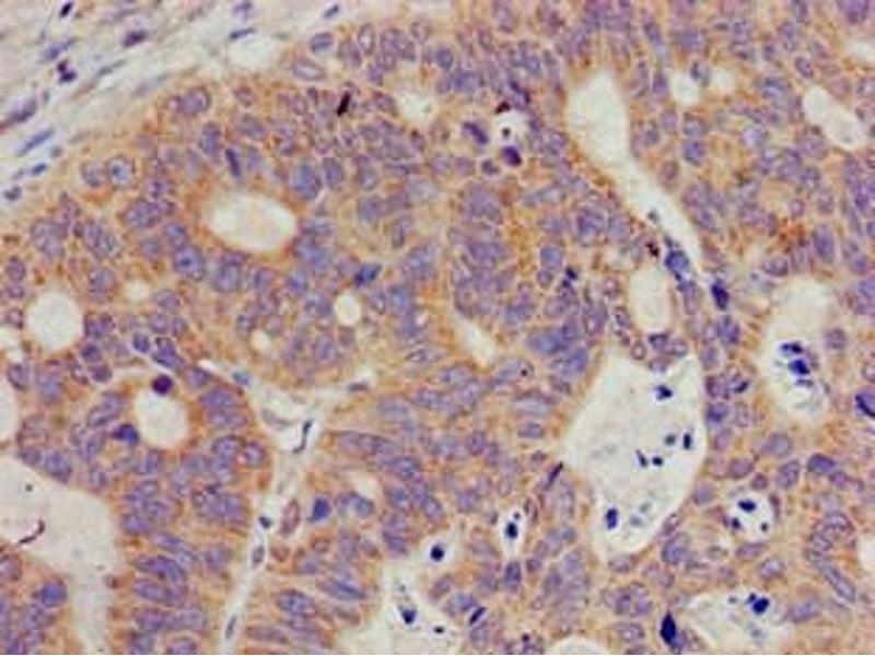
SIGMAR1 Antikörper (AA 112-169)

Der Kaninchen Polyklonal anti-SIGMAR1 Antikörper (ABIN7169599) detektiert spezifisch SIGMAR1 in ELISA und IHC. Dieser Antikörper reagiert spezifisch mit Proben aus Human.
Produktnummer ABIN7169599
328,90 €
Zzgl. Versandkosten 20,00 € und MwSt
Lieferung nach: Deutschland
Lieferung in 11 bis 15 Werktagen

Kurzübersicht für SIGMAR1 Antikörper (AA 112-169) (ABIN7169599)

Target

Alle SIGMAR1 Antikörper anzeigen
SIGMAR1 (sigma Non-Opioid Intracellular Receptor 1 (SIGMAR1))

Reaktivität

  • 20
  • 10
  • 9
  • 1
Human

Wirt

  • 20
Kaninchen

Klonalität

  • 20
Polyklonal

Konjugat

  • 9
  • 2
  • 2
  • 1
  • 1
  • 1
  • 1
  • 1
  • 1
  • 1
Dieser SIGMAR1 Antikörper ist unkonjugiert

Applikation

  • 9
  • 6
  • 2
  • 2
  • 1
  • 1
  • 1
  • 1
  • 1
  • 1
ELISA, Immunohistochemistry (IHC)
  • Bindungsspezifität

    • 4
    • 3
    • 2
    • 1
    • 1
    • 1
    • 1
    • 1
    • 1
    AA 112-169

    Verwendungszweck

    SIGMAR1 Antibody

    Aufreinigung

    Protein G purified

    Reinheit

    >95 %

    Immunogen

    Recombinant Human Sigma non-opioid intracellular receptor 1 protein (112-169AA)

    Isotyp

    IgG
  • Applikationshinweise

    Optimal working dilution should be determined by the investigator.

    Beschränkungen

    Nur für Forschungszwecke einsetzbar
  • Format

    Liquid

    Buffer

    Preservative: 0.03 % Proclin 300
    Constituents: 50 % Glycerol, 0.01M PBS, pH 7.4

    Konservierungsmittel

    ProClin

    Vorsichtsmaßnahmen

    This product contains ProClin: a POISONOUS AND HAZARDOUS SUBSTANCE which should be handled by trained staff only.

    Lagerung

    -20 °C,-80 °C

    Informationen zur Lagerung

    Upon receipt, store at -20°C or -80°C. Avoid repeated freeze.
  • Target

    SIGMAR1 (sigma Non-Opioid Intracellular Receptor 1 (SIGMAR1))

    Andere Bezeichnung

    SIGMAR1

    Hintergrund

    Background: Functions in lipid transport from the endoplasmic reticulum and is involved in a wide array of cellular functions probably through regulation of the biogenesis of lipid microdomains at the plasma membrane. Involved in the regulation of different receptors it plays a role in BDNF signaling and EGF signaling. Also regulates ion channels like the potassium channel and could modulate neurotransmitter release. Plays a role in calcium signaling through modulation together with ANK2 of the ITP3R-dependent calcium efflux at the endoplasmic reticulum. Plays a role in several other cell functions including proliferation, survival and death. Originally identified for its ability to bind various psychoactive drugs it is involved in learning processes, memory and mood alteration (PubMed:16472803, PubMed:9341151). Necessary for proper mitochondrial axonal transport in motor neurons, in particular the retrograde movement of mitochondria (By similarity).

    Aliases: Aging associated gene 8 protein antibody, Aging-associated gene 8 protein antibody, AL024364 antibody, hSigmaR1 antibody, mSigmaR1 antibody, opioid receptor, sigma 1 antibody, opioid receptor, sigma 1 isoform 1 antibody, RP23 167I12.6 antibody, SGMR1_HUMAN antibody, SIG 1R antibody, SIG-1R antibody, Sigma 1-type opioid receptor antibody, Sigma non-opioid intracellular receptor 1 antibody, sigma1 receptor antibody, Sigma1-receptor antibody, Sigma1R antibody, Sigmar1 antibody, SR BP antibody, SR-BP antibody, SR31747 binding protein antibody, SR31747-binding protein antibody, SRBP antibody

    UniProt

    Q99720

    Pathways

    SARS-CoV-2 Protein Interaktom
Sie sind hier:
Chat with us!