×
Aktivieren Sie Javascript in Ihrem Browser, um unsere Webseite optimal zu nutzen.
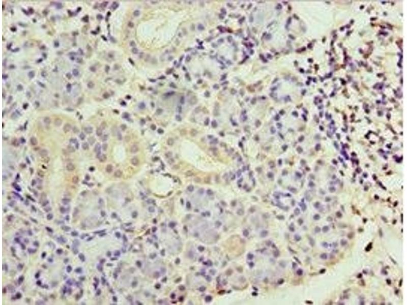
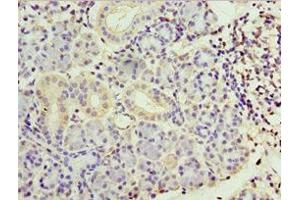
SMYD4 Antikörper (AA 1-260)
Der Kaninchen Polyklonal anti-SMYD4 Antikörper (ABIN7169410) detektiert spezifisch SMYD4 in WB, IHC und ELISA.
Dieser Antikörper reagiert spezifisch mit Proben aus Human.
Produktnummer ABIN7169410
328,90 €
Zzgl. Versandkosten 20,00 € und MwSt
50 μL ABIN7362312
100 μL ABIN7169410
50 μL ABIN7362312
100 μL ABIN7169410
Lieferung in 11 bis 15 Werktagen
Kurzübersicht für SMYD4 Antikörper (AA 1-260) (ABIN7169410)
Target
SMYD4
(SET and MYND Domain Containing 4 (SMYD4))
Reaktivität
Alle Reaktivitäten für SMYD4 Antikörper
Human
Wirt
Alle Wirte für SMYD4 Antikörper
Kaninchen
Klonalität
Alle Klonalitäten für SMYD4 Antikörper
Polyklonal
Konjugat
Alle Konjugate für SMYD4 Antikörper
Dieser SMYD4 Antikörper ist unkonjugiert
Applikation
Alle Applikationen für SMYD4 Antikörper
Western Blotting (WB), Immunohistochemistry (IHC), ELISA
Produktdetails anti-SMYD4 Antikörper
(ausblenden)
Bindungsspezifität
Alle Epitope für SMYD4 Antikörper
AA 1-260
Verwendungszweck
SMYD4 Antibody
Aufreinigung
Antigen Affinity Purified
Immunogen
Recombinant Human SET and MYND domain-containing protein 4 protein (1-260AA)
Isotyp
IgG
Alternativen
(anzeigen)
Anwendungsinformationen
(ausblenden)
Applikationshinweise
Optimal working dilution should be determined by the investigator.
Beschränkungen
Nur für Forschungszwecke einsetzbar
Handhabung
(ausblenden)
Format
Liquid
Buffer
PBS with 0.02 % sodium azide, 50 % glycerol, pH 7.3.
Konservierungsmittel
Sodium azide
Vorsichtsmaßnahmen
This product contains Sodium azide: a POISONOUS AND HAZARDOUS SUBSTANCE which should be handled by trained staff only.
Lagerung
-20 °C,-80 °C
Informationen zur Lagerung
Upon receipt, store at -20°C or -80°C. Avoid repeated freeze.
Details zu SMYD4
(ausblenden)
Target
SMYD4
(SET and MYND Domain Containing 4 (SMYD4))
Andere Bezeichnung
SMYD4
Hintergrund
SMYD4 antibody, KIAA1936 antibody, SET and MYND domain-containing protein 4 antibody, EC 2.1.1.- antibody
UniProt
Q8IYR2
Zuletzt angesehen
(ausblenden)
Sie sind hier:
Startseite
anti-SMYD4 Antikörper (AA 1-260) (ABIN7169410)
Chat with us , powered by LiveChat