Telefon:
+49 (0)241 95 163 153
Fax:
+49 (0)241 95 163 155
E-Mail:
orders@antikoerper-online.de

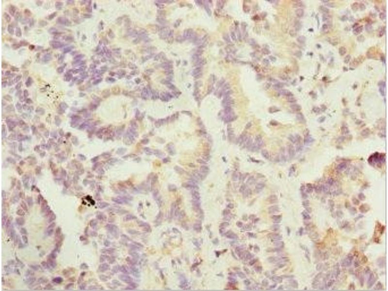
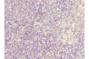
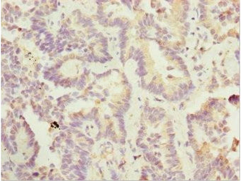
SIK3 Antikörper (AA 60-310)

Der Kaninchen Polyklonal anti-SIK3 Antikörper (ABIN7169185) detektiert spezifisch SIK3 in ELISA und IHC. Dieser Antikörper reagiert spezifisch mit Proben aus Human.
Produktnummer ABIN7169185
328,90 €
Zzgl. Versandkosten 20,00 € und MwSt
Lieferung nach: Deutschland
Lieferung in 11 bis 15 Werktagen

Kurzübersicht für SIK3 Antikörper (AA 60-310) (ABIN7169185)

Target

SIK3 (SIK Family Kinase 3 (SIK3))

Reaktivität

  • 31
  • 20
  • 16
  • 2
  • 1
  • 1
  • 1
  • 1
  • 1
Human

Wirt

  • 29
  • 3
Kaninchen

Klonalität

  • 32
Polyklonal

Konjugat

  • 20
  • 2
  • 1
  • 1
  • 1
  • 1
  • 1
  • 1
  • 1
  • 1
  • 1
  • 1
Dieser SIK3 Antikörper ist unkonjugiert

Applikation

  • 20
  • 16
  • 8
  • 6
  • 5
  • 3
  • 3
  • 2
  • 1
ELISA, Immunohistochemistry (IHC)
  • Bindungsspezifität

    • 7
    • 6
    • 3
    • 2
    • 1
    • 1
    • 1
    • 1
    • 1
    • 1
    AA 60-310

    Verwendungszweck

    SIK3 Antibody

    Aufreinigung

    Antigen Affinity Purified

    Immunogen

    Recombinant Human Serine/threonine-protein kinase SIK3 protein (60-310AA)

    Isotyp

    IgG
  • Applikationshinweise

    Optimal working dilution should be determined by the investigator.

    Beschränkungen

    Nur für Forschungszwecke einsetzbar
  • Format

    Liquid

    Buffer

    PBS with 0.02 % sodium azide, 50 % glycerol, pH 7.3.

    Konservierungsmittel

    Sodium azide

    Vorsichtsmaßnahmen

    This product contains Sodium azide: a POISONOUS AND HAZARDOUS SUBSTANCE which should be handled by trained staff only.

    Lagerung

    -20 °C,-80 °C

    Informationen zur Lagerung

    Upon receipt, store at -20°C or -80°C. Avoid repeated freeze.
  • Target

    SIK3 (SIK Family Kinase 3 (SIK3))

    Andere Bezeichnung

    SIK3

    Hintergrund

    Background: ATP binding, magnesium ion binding, protein serine/threonine kinase activity, protein phosphorylation

    Aliases: SIK3 antibody, KIAA0999 antibody, QSK antibody, L19Serine/threonine-protein kinase SIK3 antibody, EC 2.7.11.1 antibody, Salt-inducible kinase 3 antibody, SIK-3 antibody, Serine/threonine-protein kinase QSK antibody

    UniProt

    Q9Y2K2
Sie sind hier:
Chat with us!