Telefon:
+49 (0)241 95 163 153
Fax:
+49 (0)241 95 163 155
E-Mail:
orders@antikoerper-online.de

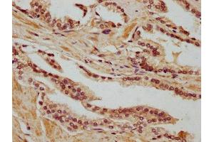
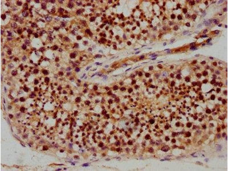
SAGE1 Antikörper (AA 3-133)

Dieser Kaninchen Polyklonal Antikörper detektiert spezifisch SAGE1 in ELISA und IHC. Es zeigt Reaktivität gegenüber Proben von Human.
Produktnummer ABIN7168592
328,90 €
Zzgl. Versandkosten 20,00 € und MwSt
Lieferung nach: Deutschland
Lieferung in 11 bis 15 Werktagen

Kurzübersicht für SAGE1 Antikörper (AA 3-133) (ABIN7168592)

Target

SAGE1 (Sarcoma Antigen 1 (SAGE1))

Reaktivität

Human

Wirt

  • 4
  • 2
Kaninchen

Klonalität

  • 5
  • 1
Polyklonal

Konjugat

  • 3
  • 1
  • 1
  • 1
Dieser SAGE1 Antikörper ist unkonjugiert

Applikation

  • 5
  • 3
  • 1
  • 1
  • 1
  • 1
ELISA, Immunohistochemistry (IHC)
  • Bindungsspezifität

    • 3
    • 2
    • 1
    AA 3-133

    Verwendungszweck

    SAGE1 Antibody

    Aufreinigung

    Protein G purified

    Reinheit

    >95 %

    Immunogen

    Recombinant Human Sarcoma antigen 1protein (3-133AA)

    Isotyp

    IgG
  • Applikationshinweise

    Optimal working dilution should be determined by the investigator.

    Beschränkungen

    Nur für Forschungszwecke einsetzbar
  • Format

    Liquid

    Buffer

    Preservative: 0.03 % Proclin 300
    Constituents: 50 % Glycerol, 0.01M PBS, pH 7.4

    Konservierungsmittel

    ProClin

    Vorsichtsmaßnahmen

    This product contains ProClin: a POISONOUS AND HAZARDOUS SUBSTANCE which should be handled by trained staff only.

    Lagerung

    -20 °C,-80 °C

    Informationen zur Lagerung

    Upon receipt, store at -20°C or -80°C. Avoid repeated freeze.
  • Target

    SAGE1 (Sarcoma Antigen 1 (SAGE1))

    Andere Bezeichnung

    SAGE1

    Hintergrund

    Cancer/testis antigen 14 antibody, CT14 antibody, RP11-97N5.1 antibody, SAGE antibody, SAGE1 antibody, SAGE1_HUMAN antibody, Sarcoma antigen 1 antibody

    UniProt

    Q9NXZ1
Sie sind hier:
Chat with us!