Telefon:
+49 (0)241 95 163 153
Fax:
+49 (0)241 95 163 155
E-Mail:
orders@antikoerper-online.de

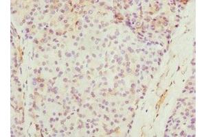
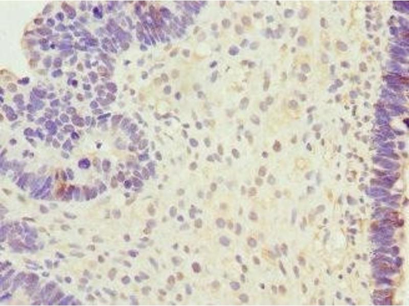
SAP30BP Antikörper (AA 1-308)

Der Kaninchen Polyklonal anti-SAP30BP Antikörper (ABIN7168591) detektiert spezifisch SAP30BP in IHC und ELISA. Dieser Antikörper reagiert spezifisch mit Proben aus Human.
Produktnummer ABIN7168591
328,90 €
Zzgl. Versandkosten 20,00 € und MwSt
Lieferung nach: Deutschland
Lieferung in 11 bis 15 Werktagen

Kurzübersicht für SAP30BP Antikörper (AA 1-308) (ABIN7168591)

Target

Alle SAP30BP Antikörper anzeigen
SAP30BP (SAP30 Binding Protein (SAP30BP))

Reaktivität

  • 31
  • 24
  • 21
  • 9
  • 7
  • 5
  • 5
  • 5
  • 4
  • 3
  • 3
  • 3
  • 3
  • 3
  • 2
Human

Wirt

  • 28
  • 3
Kaninchen

Klonalität

  • 28
  • 3
Polyklonal

Konjugat

  • 24
  • 1
  • 1
  • 1
  • 1
  • 1
  • 1
  • 1
Dieser SAP30BP Antikörper ist unkonjugiert

Applikation

  • 22
  • 6
  • 4
  • 4
  • 3
  • 1
  • 1
Immunohistochemistry (IHC), ELISA
  • Bindungsspezifität

    • 3
    • 3
    • 3
    • 2
    • 2
    • 1
    • 1
    • 1
    • 1
    • 1
    AA 1-308

    Verwendungszweck

    SAP30BP Antibody

    Aufreinigung

    Antigen Affinity Purified

    Immunogen

    Recombinant Human SAP30-binding protein (1-308AA)

    Isotyp

    IgG
  • Applikationshinweise

    Optimal working dilution should be determined by the investigator.

    Beschränkungen

    Nur für Forschungszwecke einsetzbar
  • Format

    Liquid

    Buffer

    PBS with 0.02 % sodium azide, 50 % glycerol, pH 7.3.

    Konservierungsmittel

    Sodium azide

    Vorsichtsmaßnahmen

    This product contains Sodium azide: a POISONOUS AND HAZARDOUS SUBSTANCE which should be handled by trained staff only.

    Lagerung

    -20 °C,-80 °C

    Informationen zur Lagerung

    Upon receipt, store at -20°C or -80°C. Avoid repeated freeze.
  • Target

    SAP30BP (SAP30 Binding Protein (SAP30BP))

    Andere Bezeichnung

    SAP30BP

    Hintergrund

    Background: Induces cell death. May act as a transcriptional corepressor of a gene related to cell survival. May be involved in the regulation of beta-2-microglobulin genes.

    Aliases: HCNGP antibody, HSV 1 binding antibody, HSV-1 binding transcriptional regulator protein antibody, HSV1 binding antibody, HTRG antibody, HTRP antibody, Human transcriptional regulator protein antibody, S30BP_HUMAN antibody, SAP 30 binding protein antibody, SAP30 binding protein antibody, SAP30-binding protein antibody, SAP30BP antibody, Transcriptional regulator protein HCNGP antibody

    UniProt

    Q9UHR5
Sie sind hier:
Chat with us!