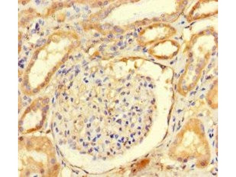
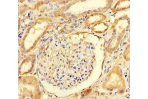
ARHGAP19 Antikörper (AA 1-494)
Kurzübersicht für ARHGAP19 Antikörper (AA 1-494) (ABIN7167939)
Target
Alle ARHGAP19 Antikörper anzeigenReaktivität
Wirt
Klonalität
Konjugat
Applikation
-
-
Bindungsspezifität
- AA 1-494
-
Verwendungszweck
- ARHGAP19 Antibody
-
Aufreinigung
- Protein G purified
-
Reinheit
- >95 %
-
Immunogen
- Recombinant Human Rho GTPase-activating protein 19 protein (1-494AA)
-
Isotyp
- IgG
-
-
-
-
Applikationshinweise
- Optimal working dilution should be determined by the investigator.
-
Beschränkungen
- Nur für Forschungszwecke einsetzbar
-
-
-
Format
- Liquid
-
Buffer
-
Preservative: 0.03 % Proclin 300
Constituents: 50 % Glycerol, 0.01M PBS, PH 7.4 -
Konservierungsmittel
- ProClin
-
Vorsichtsmaßnahmen
- This product contains ProClin: a POISONOUS AND HAZARDOUS SUBSTANCE which should be handled by trained staff only.
-
Lagerung
- -20 °C,-80 °C
-
Informationen zur Lagerung
- Upon receipt, store at -20°C or -80°C. Avoid repeated freeze.
-
-
- ARHGAP19 (rho GTPase Activating Protein 19 (ARHGAP19))
-
Andere Bezeichnung
- ARHGAP19
-
Hintergrund
-
Background: GTPase activator for the Rho-type GTPases by converting them to an inactive GDP-bound state.
Aliases: ARHGAP19 antibody, Rho GTPase-activating protein 19 antibody, Rho-type GTPase-activating protein 19 antibody
-
UniProt
- Q14CB8
Target
-