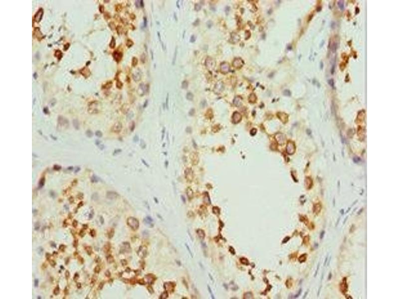
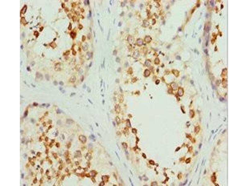
RCN2 Antikörper (AA 23-180)
Kurzübersicht für RCN2 Antikörper (AA 23-180) (ABIN7167743)
Target
Alle RCN2 Antikörper anzeigenReaktivität
Wirt
Klonalität
Konjugat
Applikation
-
-
Bindungsspezifität
- AA 23-180
-
Verwendungszweck
- RCN2 Antibody
-
Aufreinigung
- Antigen Affinity Purified
-
Immunogen
- Recombinant Human Reticulocalbin-2 protein (23-180AA)
-
Isotyp
- IgG
-
-
-
-
Applikationshinweise
- Optimal working dilution should be determined by the investigator.
-
Beschränkungen
- Nur für Forschungszwecke einsetzbar
-
-
-
Format
- Liquid
-
Buffer
- PBS with 0.02 % sodium azide, 50 % glycerol, pH 7.3.
-
Konservierungsmittel
- Sodium azide
-
Vorsichtsmaßnahmen
- This product contains Sodium azide: a POISONOUS AND HAZARDOUS SUBSTANCE which should be handled by trained staff only.
-
Lagerung
- -20 °C,-80 °C
-
Informationen zur Lagerung
- Upon receipt, store at -20°C or -80°C. Avoid repeated freeze.
-
-
- RCN2 (Reticulocalbin 2, EF-Hand Calcium Binding Domain (RCN2))
-
Andere Bezeichnung
- RCN2
-
Hintergrund
-
Background: Not known. Binds calcium.
Aliases: Calcium binding protein ERC 55 antibody, Calcium-binding protein ERC-55 antibody, E6 binding protein antibody, E6-binding protein antibody, E6BP antibody, ERC 55 antibody, ERC55 antibody, Rcn2 antibody, RCN2_HUMAN antibody, Reticulocalbin 2 EF hand calcium binding domain (endoplasmic reticulum calcium binding protein 55kD) antibody, Reticulocalbin 2, EF hand calcium binding domain antibody, Reticulocalbin-2 antibody, TCBP49 antibody
-
UniProt
- Q14257
Target
-