Telefon:
+49 (0)241 95 163 153
Fax:
+49 (0)241 95 163 155
E-Mail:
orders@antikoerper-online.de

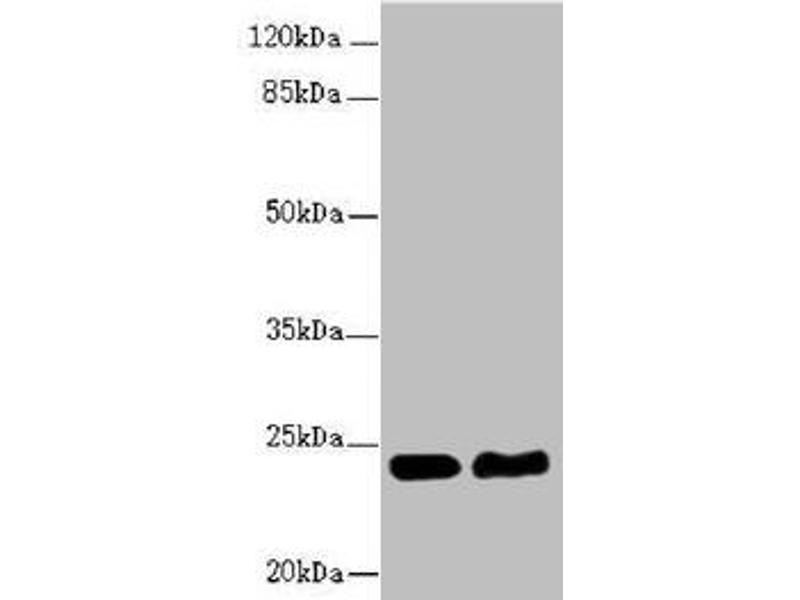
RAB5B Antikörper (AA 1-215)

Der Kaninchen Polyklonal anti-RAB5B Antikörper (ABIN7167361) detektiert spezifisch RAB5B in WB, ELISA und IHC. Dieser Antikörper reagiert spezifisch mit Proben aus Human.
Produktnummer ABIN7167361
328,90 €
Zzgl. Versandkosten 20,00 € und MwSt
Lieferung nach: Deutschland
Lieferung in 11 bis 15 Werktagen

Kurzübersicht für RAB5B Antikörper (AA 1-215) (ABIN7167361)

Target

Alle RAB5B Antikörper anzeigen
RAB5B (RAB5B, Member RAS Oncogene Family (RAB5B))

Reaktivität

  • 22
  • 22
  • 9
  • 4
  • 3
  • 3
  • 3
  • 3
  • 3
  • 2
  • 2
  • 1
  • 1
  • 1
  • 1
  • 1
  • 1
  • 1
Human

Wirt

  • 19
  • 2
  • 2
Kaninchen

Klonalität

  • 21
  • 2
Polyklonal

Konjugat

  • 18
  • 1
  • 1
  • 1
  • 1
  • 1
Dieser RAB5B Antikörper ist unkonjugiert

Applikation

  • 22
  • 10
  • 5
  • 3
  • 1
  • 1
Western Blotting (WB), ELISA, Immunohistochemistry (IHC)
  • Bindungsspezifität

    • 8
    • 3
    • 3
    • 2
    • 1
    AA 1-215

    Verwendungszweck

    RAB5B Antibody

    Aufreinigung

    Antigen Affinity Purified

    Immunogen

    Recombinant Human Ras-related protein Rab-5B protein (1-215AA)

    Isotyp

    IgG
  • Applikationshinweise

    Optimal working dilution should be determined by the investigator.

    Beschränkungen

    Nur für Forschungszwecke einsetzbar
  • Format

    Liquid

    Buffer

    PBS with 0.02 % sodium azide, 50 % glycerol, pH 7.3.

    Konservierungsmittel

    Sodium azide

    Vorsichtsmaßnahmen

    This product contains Sodium azide: a POISONOUS AND HAZARDOUS SUBSTANCE which should be handled by trained staff only.

    Lagerung

    -20 °C,-80 °C

    Informationen zur Lagerung

    Upon receipt, store at -20°C or -80°C. Avoid repeated freeze.
  • Target

    RAB5B (RAB5B, Member RAS Oncogene Family (RAB5B))

    Andere Bezeichnung

    RAB5B

    Hintergrund

    Background: Protein transport. Probably involved in vesicular traffic (By similarity).

    Aliases: RAB5B antibody, Ras-related protein Rab-5B antibody

    UniProt

    P61020
Sie sind hier:
Chat with us!