Telefon:
+49 (0)241 95 163 153
Fax:
+49 (0)241 95 163 155
E-Mail:
orders@antikoerper-online.de

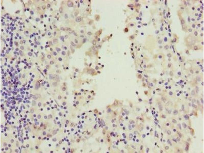
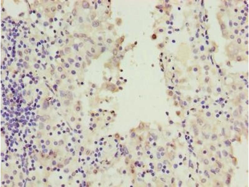
RAB20 Antikörper (AA 1-234)

Der Kaninchen Polyklonal anti-RAB20 Antikörper (ABIN7167244) detektiert spezifisch RAB20 in WB, ELISA und IHC. Dieser Antikörper reagiert spezifisch mit Proben aus Human.
Produktnummer ABIN7167244
328,90 €
Zzgl. Versandkosten 20,00 € und MwSt
Lieferung nach: Deutschland
Lieferung in 11 bis 15 Werktagen

Kurzübersicht für RAB20 Antikörper (AA 1-234) (ABIN7167244)

Target

Alle RAB20 Antikörper anzeigen
RAB20 (RAB20, Member RAS Oncogene Family (RAB20))

Reaktivität

  • 39
  • 20
  • 5
  • 2
  • 2
  • 2
  • 2
  • 2
  • 2
  • 2
  • 2
  • 2
  • 2
  • 2
  • 2
  • 2
  • 1
Human

Wirt

  • 47
  • 5
  • 2
Kaninchen

Klonalität

  • 51
  • 3
Polyklonal

Konjugat

  • 22
  • 5
  • 4
  • 4
  • 1
  • 1
  • 1
  • 1
  • 1
  • 1
  • 1
  • 1
  • 1
  • 1
  • 1
  • 1
  • 1
  • 1
  • 1
  • 1
  • 1
  • 1
  • 1
Dieser RAB20 Antikörper ist unkonjugiert

Applikation

  • 25
  • 23
  • 13
  • 13
  • 5
  • 4
  • 4
  • 3
  • 2
  • 2
  • 1
Western Blotting (WB), ELISA, Immunohistochemistry (IHC)
  • Bindungsspezifität

    • 15
    • 9
    • 8
    • 4
    • 2
    • 1
    • 1
    • 1
    • 1
    • 1
    AA 1-234

    Verwendungszweck

    RAB20 Antibody

    Aufreinigung

    Protein G purified

    Reinheit

    >95 %

    Immunogen

    Recombinant Human Ras-related protein Rab-20 protein (1-234AA)

    Isotyp

    IgG
  • Applikationshinweise

    Optimal working dilution should be determined by the investigator.

    Beschränkungen

    Nur für Forschungszwecke einsetzbar
  • Format

    Liquid

    Buffer

    Preservative: 0.03 % Proclin 300
    Constituents: 50 % Glycerol, 0.01M PBS, PH 7.4

    Konservierungsmittel

    ProClin

    Vorsichtsmaßnahmen

    This product contains ProClin: a POISONOUS AND HAZARDOUS SUBSTANCE which should be handled by trained staff only.

    Lagerung

    -20 °C,-80 °C

    Informationen zur Lagerung

    Upon receipt, store at -20°C or -80°C. Avoid repeated freeze.
  • Target

    RAB20 (RAB20, Member RAS Oncogene Family (RAB20))

    Andere Bezeichnung

    RAB20

    Hintergrund

    Background: Plays a role in apical endocytosis/recycling. Plays a role in the maturation and acidification of phagosomes that engulf pathogens, such as S.aureus and M.tuberculosis. Plays a role in the fusion of phagosomes with lysosomes.

    Aliases: FLJ20429 antibody, RAB20 antibody, RAB20 member RAS oncogene family antibody, RAB20_HUMAN antibody, Ras related protein Rab20 antibody, Ras-related protein Rab-20 antibody

    UniProt

    Q9NX57
Sie sind hier:
Chat with us!