Telefon:
+49 (0)241 95 163 153
Fax:
+49 (0)241 95 163 155
E-Mail:
orders@antikoerper-online.de

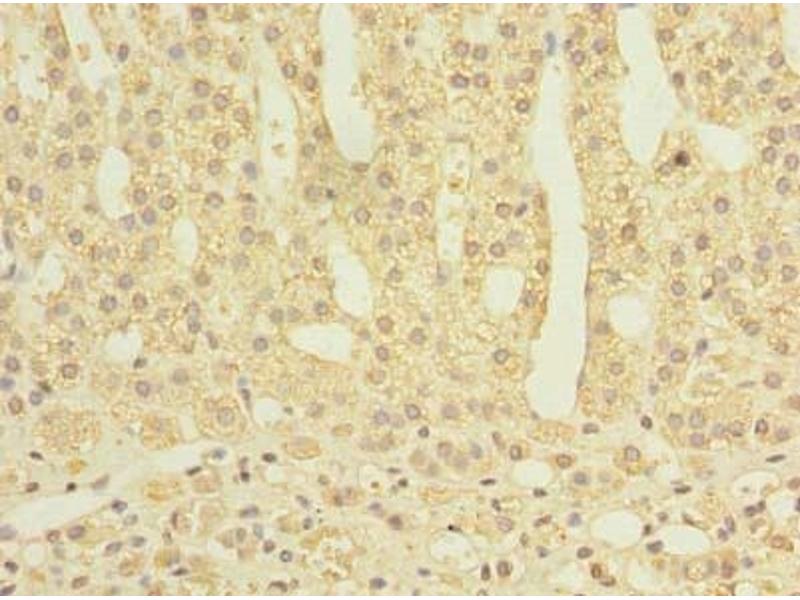
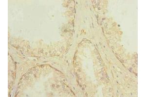
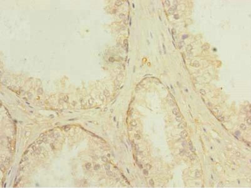
PLPBP Antikörper (AA 1-275)

Der Kaninchen Polyklonal anti-PLPBP Antikörper wird verwendet zum Nachweis von PLPBP in Proben von Human. Er wurde validiert für ELISA und IHC.
Produktnummer ABIN7166868
328,90 €
Zzgl. Versandkosten 20,00 € und MwSt
Lieferung nach: Deutschland
Lieferung in 11 bis 15 Werktagen

Kurzübersicht für PLPBP Antikörper (AA 1-275) (ABIN7166868)

Target

PLPBP (Pyridoxal Phosphate Homeostasis Protein (PLPBP))

Reaktivität

Human

Wirt

  • 5
  • 1
Kaninchen

Klonalität

  • 5
  • 1
Polyklonal

Konjugat

  • 3
  • 1
  • 1
  • 1
Dieser PLPBP Antikörper ist unkonjugiert

Applikation

  • 3
  • 3
  • 1
ELISA, Immunohistochemistry (IHC)
  • Bindungsspezifität

    AA 1-275

    Verwendungszweck

    PLPBP Antibody

    Aufreinigung

    Protein G purified

    Reinheit

    >95 %

    Immunogen

    Recombinant Human Pyridoxal phosphate homeostasis protein (1-275AA)

    Isotyp

    IgG
  • Applikationshinweise

    Optimal working dilution should be determined by the investigator.

    Beschränkungen

    Nur für Forschungszwecke einsetzbar
  • Format

    Liquid

    Buffer

    Preservative: 0.03 % Proclin 300
    Constituents: 50 % Glycerol, 0.01M PBS, PH 7.4

    Konservierungsmittel

    ProClin

    Vorsichtsmaßnahmen

    This product contains ProClin: a POISONOUS AND HAZARDOUS SUBSTANCE which should be handled by trained staff only.

    Lagerung

    -20 °C,-80 °C

    Informationen zur Lagerung

    Upon receipt, store at -20°C or -80°C. Avoid repeated freeze.
  • Target

    PLPBP (Pyridoxal Phosphate Homeostasis Protein (PLPBP))

    Andere Bezeichnung

    PLPBP

    Hintergrund

    Background: cytoplasm, extracellular exosome, intracellular, pyridoxal phosphate binding

    Aliases: FLJ11861 antibody, Proline synthase co-transcribed bacterial homolog protein antibody, Proline synthetase co transcribed bacterial homolog antibody, Proline synthetase co transcribed homolog (bacterial) antibody, PROSC antibody, PROSC_HUMAN antibody

    UniProt

    O94903
Sie sind hier:
Chat with us!