Telefon:
+49 (0)241 95 163 153
Fax:
+49 (0)241 95 163 155
E-Mail:
orders@antikoerper-online.de

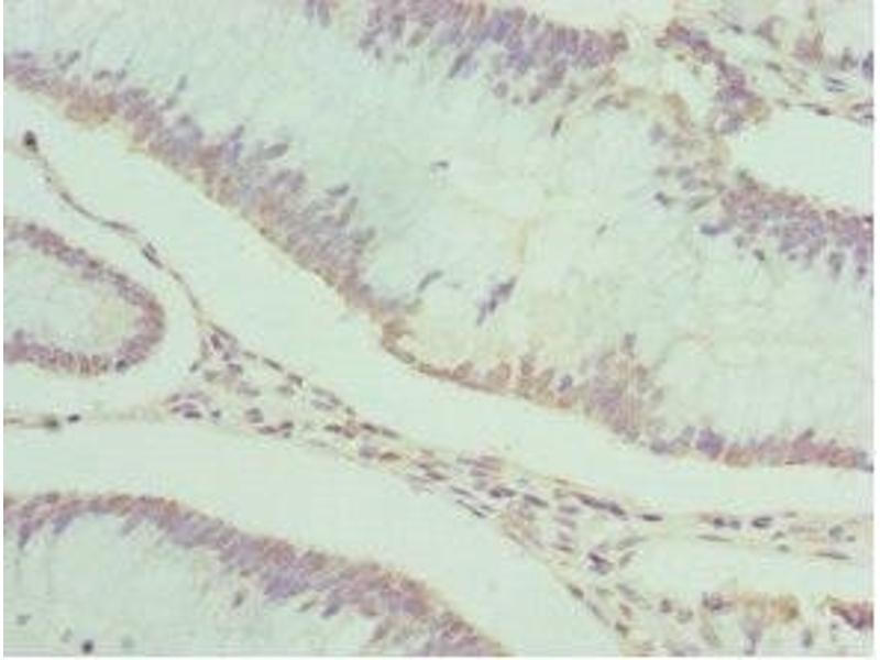
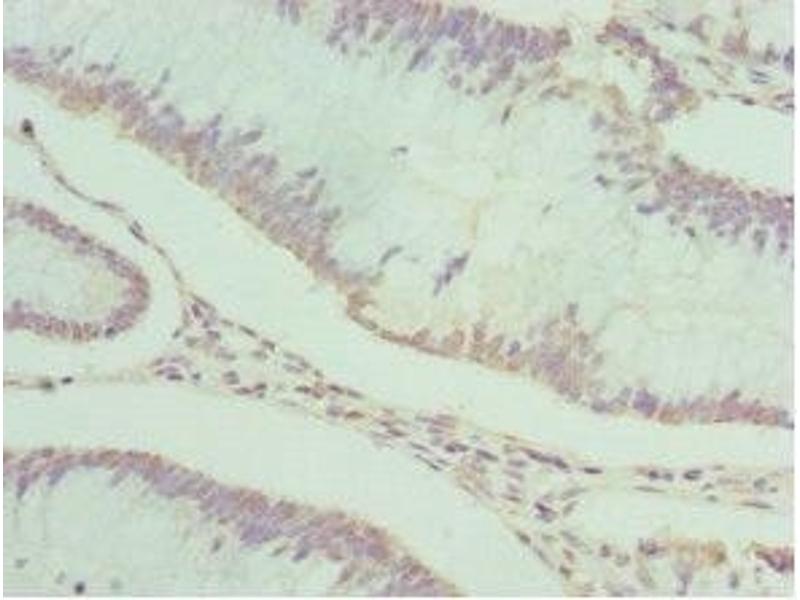
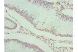
PDXK Antikörper (AA 1-312)

Dieser Kaninchen Polyklonal Antikörper detektiert spezifisch PDXK in WB, IHC und ELISA. Es zeigt Reaktivität gegenüber Proben von Human.
Produktnummer ABIN7166867
328,90 €
Zzgl. Versandkosten 20,00 € und MwSt
Lieferung nach: Deutschland
Lieferung in 11 bis 15 Werktagen

Kurzübersicht für PDXK Antikörper (AA 1-312) (ABIN7166867)

Target

Alle PDXK Antikörper anzeigen
PDXK (Pyridoxal Kinase (PDXK))

Reaktivität

  • 55
  • 36
  • 24
  • 4
  • 4
  • 3
  • 3
  • 3
  • 2
  • 2
  • 1
  • 1
  • 1
Human

Wirt

  • 48
  • 10
Kaninchen

Klonalität

  • 50
  • 8
Polyklonal

Konjugat

  • 33
  • 2
  • 2
  • 2
  • 1
  • 1
  • 1
  • 1
  • 1
  • 1
  • 1
  • 1
  • 1
  • 1
  • 1
  • 1
  • 1
  • 1
  • 1
  • 1
  • 1
  • 1
  • 1
Dieser PDXK Antikörper ist unkonjugiert

Applikation

  • 49
  • 14
  • 13
  • 13
  • 6
  • 6
  • 6
  • 4
  • 3
Western Blotting (WB), Immunohistochemistry (IHC), ELISA
  • Bindungsspezifität

    • 8
    • 5
    • 3
    • 2
    • 2
    • 1
    • 1
    • 1
    • 1
    • 1
    • 1
    • 1
    • 1
    • 1
    • 1
    AA 1-312

    Verwendungszweck

    PDXK Antibody

    Kreuzreaktivität

    Maus

    Aufreinigung

    Antigen Affinity Purified

    Immunogen

    Recombinant Human Pyridoxal kinase protein (1-312AA)

    Isotyp

    IgG
  • Applikationshinweise

    Optimal working dilution should be determined by the investigator.

    Beschränkungen

    Nur für Forschungszwecke einsetzbar
  • Format

    Liquid

    Buffer

    PBS with 0.02 % sodium azide, 50 % glycerol, pH 7.3.

    Konservierungsmittel

    Sodium azide

    Vorsichtsmaßnahmen

    This product contains Sodium azide: a POISONOUS AND HAZARDOUS SUBSTANCE which should be handled by trained staff only.

    Lagerung

    -20 °C,-80 °C

    Informationen zur Lagerung

    Upon receipt, store at -20°C or -80°C. Avoid repeated freeze.
  • Target

    PDXK (Pyridoxal Kinase (PDXK))

    Andere Bezeichnung

    PDXK

    Hintergrund

    Background: Required for synthesis of pyridoxal-5-phosphate from vitamin B6.

    Aliases: pdxK antibody, PDXK_HUMAN antibody, PKH antibody, PNK antibody, Pyridoxal kinase antibody, Pyridoxamine kinase antibody, Pyridoxine kinase antibody, Pyridoxine kinase, antibody, Vitamin B6 kinase antibody

    UniProt

    O00764
Sie sind hier:
Chat with us!