Telefon:
+49 (0)241 95 163 153
Fax:
+49 (0)241 95 163 155
E-Mail:
orders@antikoerper-online.de

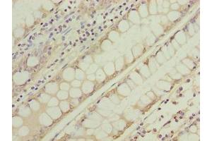
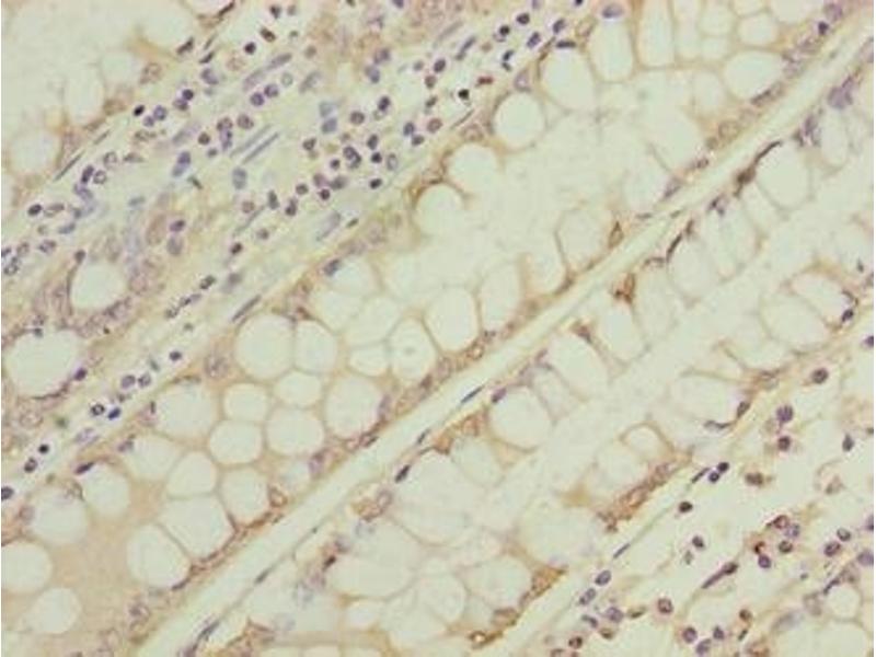
NSUN7 Antikörper (AA 1-300)

Der Kaninchen Polyklonal anti-NSUN7 Antikörper (ABIN7166731) detektiert spezifisch NSUN7 in ELISA und IHC. Dieser Antikörper reagiert spezifisch mit Proben aus Human.
Produktnummer ABIN7166731
328,90 €
Zzgl. Versandkosten 20,00 € und MwSt
Lieferung nach: Deutschland
Lieferung in 11 bis 15 Werktagen

Kurzübersicht für NSUN7 Antikörper (AA 1-300) (ABIN7166731)

Target

Alle NSUN7 Antikörper anzeigen
NSUN7 (NOP2/Sun Domain Family, Member 7 (NSUN7))

Reaktivität

  • 6
  • 1
  • 1
Human

Wirt

  • 6
Kaninchen

Klonalität

  • 6
Polyklonal

Konjugat

  • 2
  • 2
  • 1
  • 1
Dieser NSUN7 Antikörper ist unkonjugiert

Applikation

  • 4
  • 2
  • 1
  • 1
ELISA, Immunohistochemistry (IHC)
  • Bindungsspezifität

    • 4
    • 1
    • 1
    AA 1-300

    Verwendungszweck

    NSUN7 Antibody

    Aufreinigung

    Protein G purified

    Reinheit

    >95 %

    Immunogen

    Recombinant Human Putative methyltransferase NSUN7 protein (1-300AA)

    Isotyp

    IgG
  • Applikationshinweise

    Optimal working dilution should be determined by the investigator.

    Beschränkungen

    Nur für Forschungszwecke einsetzbar
  • Format

    Liquid

    Buffer

    Preservative: 0.03 % Proclin 300
    Constituents: 50 % Glycerol, 0.01M PBS, PH 7.4

    Konservierungsmittel

    ProClin

    Vorsichtsmaßnahmen

    This product contains ProClin: a POISONOUS AND HAZARDOUS SUBSTANCE which should be handled by trained staff only.

    Lagerung

    -20 °C,-80 °C

    Informationen zur Lagerung

    Upon receipt, store at -20°C or -80°C. Avoid repeated freeze.
  • Target

    NSUN7 (NOP2/Sun Domain Family, Member 7 (NSUN7))

    Andere Bezeichnung

    NSUN7

    Hintergrund

    Background: May have S-adenosyl-L-methionine-dependent methyl-transferase activity.

    Aliases: NSUN7Putative methyltransferase NSUN7 antibody, EC 2.1.1.- antibody, NOL1/NOP2/Sun domain family member 7 antibody

    UniProt

    Q8NE18
Sie sind hier:
Chat with us!