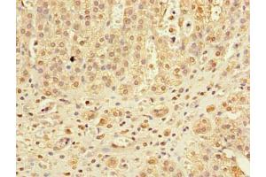
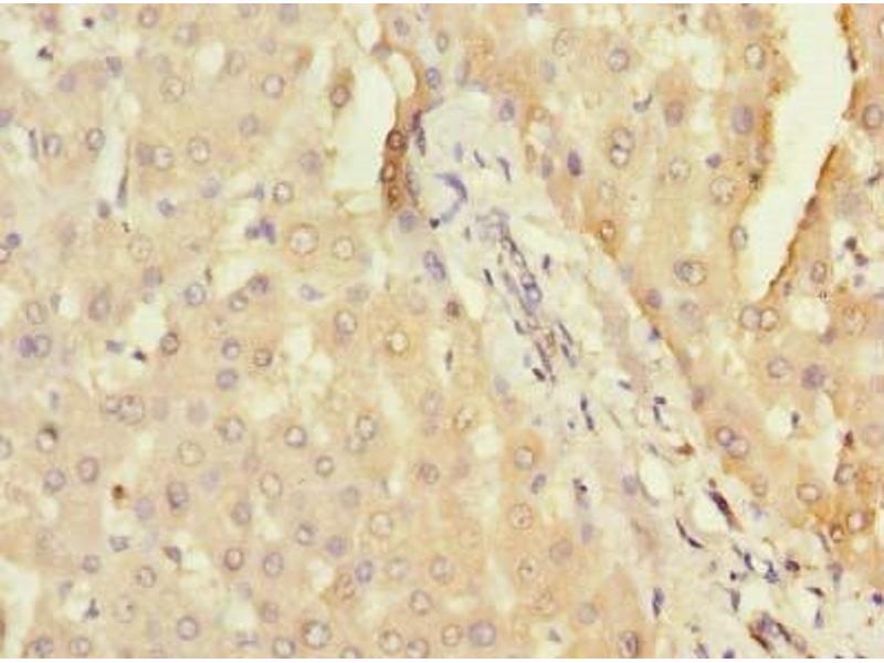
DHX30 Antikörper (AA 694-1000)
Kurzübersicht für DHX30 Antikörper (AA 694-1000) (ABIN7166660)
Target
Alle DHX30 Antikörper anzeigenReaktivität
Wirt
Klonalität
Konjugat
Applikation
-
-
Bindungsspezifität
- AA 694-1000
-
Verwendungszweck
- DHX30 Antibody
-
Aufreinigung
- Protein G purified
-
Reinheit
- >95 %
-
Immunogen
- Recombinant Human Putative ATP-dependent RNA helicase DHX30 protein (694-1000AA)
-
Isotyp
- IgG
-
-
-
-
Applikationshinweise
- Optimal working dilution should be determined by the investigator.
-
Beschränkungen
- Nur für Forschungszwecke einsetzbar
-
-
-
Format
- Liquid
-
Buffer
-
Preservative: 0.03 % Proclin 300
Constituents: 50 % Glycerol, 0.01M PBS, PH 7.4 -
Konservierungsmittel
- ProClin
-
Vorsichtsmaßnahmen
- This product contains ProClin: a POISONOUS AND HAZARDOUS SUBSTANCE which should be handled by trained staff only.
-
Lagerung
- -20 °C,-80 °C
-
Informationen zur Lagerung
- Upon receipt, store at -20°C or -80°C. Avoid repeated freeze.
-
-
- DHX30 (DEAH (Asp-Glu-Ala-His) Box Polypeptide 30 (DHX30))
-
Andere Bezeichnung
- DHX30
-
Hintergrund
-
Background: Plays an important role in the assembly of the mitochondrial large ribosomal subunit (PubMed:25683715). Required for optimal function of the zinc-finger antiviral protein ZC3HAV1 (By similarity). Associates with mitochondrial DNA (PubMed:18063578).
Aliases: DDX30 antibody, DEAH box protein 30 antibody, Dhx30 antibody, DHX30_HUMAN antibody, FLJ11214 antibody, KIAA0890 antibody, Putative ATP-dependent RNA helicase DHX30 antibody, Ret CoR antibody
-
UniProt
- Q7L2E3
-
Pathways
- Chromatin Binding
Target
-