Telefon:
+49 (0)241 95 163 153
Fax:
+49 (0)241 95 163 155
E-Mail:
orders@antikoerper-online.de

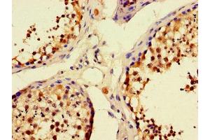
UNC13C Antikörper (AA 414-645)

Der Kaninchen Polyklonal anti-UNC13C Antikörper (ABIN7166245) detektiert spezifisch UNC13C in ELISA, IHC und IF. Dieser Antikörper reagiert spezifisch mit Proben aus Human.
Produktnummer ABIN7166245
328,90 €
Zzgl. Versandkosten 20,00 € und MwSt
Lieferung nach: Deutschland
Lieferung in 11 bis 15 Werktagen

Kurzübersicht für UNC13C Antikörper (AA 414-645) (ABIN7166245)

Target

UNC13C (Unc-13 Homolog C (UNC13C))

Reaktivität

  • 5
  • 2
  • 2
Human

Wirt

  • 6
Kaninchen

Klonalität

  • 6
Polyklonal

Konjugat

  • 2
  • 2
  • 1
  • 1
Dieser UNC13C Antikörper ist unkonjugiert

Applikation

ELISA, Immunohistochemistry (IHC), Immunofluorescence (IF)
  • Bindungsspezifität

    • 4
    • 1
    • 1
    AA 414-645

    Verwendungszweck

    UNC13C Antibody

    Aufreinigung

    Protein G purified

    Reinheit

    >95 %

    Immunogen

    Recombinant Human Protein unc-13 homolog C protein (414-645AA)

    Isotyp

    IgG
  • Applikationshinweise

    Optimal working dilution should be determined by the investigator.

    Beschränkungen

    Nur für Forschungszwecke einsetzbar
  • Format

    Liquid

    Buffer

    Preservative: 0.03 % Proclin 300
    Constituents: 50 % Glycerol, 0.01M PBS, PH 7.4

    Konservierungsmittel

    ProClin

    Vorsichtsmaßnahmen

    This product contains ProClin: a POISONOUS AND HAZARDOUS SUBSTANCE which should be handled by trained staff only.

    Lagerung

    -20 °C,-80 °C

    Informationen zur Lagerung

    Upon receipt, store at -20°C or -80°C. Avoid repeated freeze.
  • Target

    UNC13C (Unc-13 Homolog C (UNC13C))

    Andere Bezeichnung

    UNC13C

    Hintergrund

    Background: May play a role in vesicle maturation during exocytosis as a target of the diacylglycerol second messenger pathway. May be involved in the regulation of synaptic transmission at parallel fiber - Purkinje cell synapses (By similarity).

    Aliases: DKFZp547H074 antibody, Munc13 3 antibody, Munc13-3 antibody, Protein unc-13 homolog C antibody, UN13C_HUMAN antibody, Unc13c antibody

    UniProt

    Q8NB66
Sie sind hier:
Chat with us!