Telefon:
+49 (0)241 95 163 153
Fax:
+49 (0)241 95 163 155
E-Mail:
orders@antikoerper-online.de

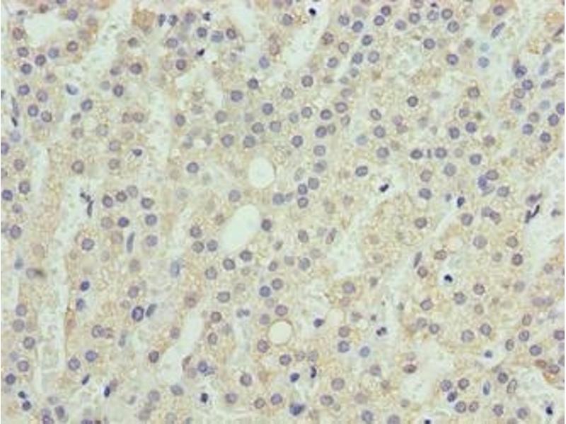
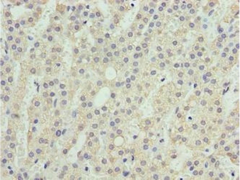
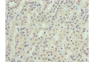
SEC16B Antikörper (AA 5-304)

Der Kaninchen Polyklonal anti-SEC16B Antikörper (ABIN7166197) detektiert spezifisch SEC16B in ELISA und IHC. Dieser Antikörper reagiert spezifisch mit Proben aus Human.
Produktnummer ABIN7166197
328,90 €
Zzgl. Versandkosten 20,00 € und MwSt
Lieferung nach: Deutschland
Lieferung in 11 bis 15 Werktagen

Kurzübersicht für SEC16B Antikörper (AA 5-304) (ABIN7166197)

Target

Alle SEC16B Antikörper anzeigen
SEC16B (SEC16 Homolog B (SEC16B))

Reaktivität

  • 26
  • 3
  • 2
  • 2
Human

Wirt

  • 25
  • 1
Kaninchen

Klonalität

  • 26
Polyklonal

Konjugat

  • 8
  • 3
  • 2
  • 2
  • 1
  • 1
  • 1
  • 1
  • 1
  • 1
  • 1
  • 1
  • 1
  • 1
  • 1
Dieser SEC16B Antikörper ist unkonjugiert

Applikation

  • 22
  • 13
  • 13
  • 7
  • 5
  • 3
  • 1
  • 1
  • 1
ELISA, Immunohistochemistry (IHC)
  • Bindungsspezifität

    • 15
    • 4
    • 3
    • 1
    • 1
    • 1
    AA 5-304

    Verwendungszweck

    SEC16B Antibody

    Aufreinigung

    Protein G purified

    Reinheit

    >95 %

    Immunogen

    Recombinant Human Protein transport protein Sec16B protein (5-304AA)

    Isotyp

    IgG
  • Applikationshinweise

    Optimal working dilution should be determined by the investigator.

    Beschränkungen

    Nur für Forschungszwecke einsetzbar
  • Format

    Liquid

    Buffer

    Preservative: 0.03 % Proclin 300
    Constituents: 50 % Glycerol, 0.01M PBS, PH 7.4

    Konservierungsmittel

    ProClin

    Vorsichtsmaßnahmen

    This product contains ProClin: a POISONOUS AND HAZARDOUS SUBSTANCE which should be handled by trained staff only.

    Lagerung

    -20 °C,-80 °C

    Informationen zur Lagerung

    Upon receipt, store at -20°C or -80°C. Avoid repeated freeze.
  • Target

    SEC16B (SEC16 Homolog B (SEC16B))

    Andere Bezeichnung

    SEC16B

    Hintergrund

    Background: Required for secretory cargo traffic from the endoplasmic reticulum to the Golgi apparatus and for normal transitional endoplasmic reticulum (tER) organization.

    Aliases: DKFZp686C2486 antibody, FLJ23871 antibody, FLJ25761 antibody, FLJ33652 antibody, FLJ36620 antibody, KIAA1928 antibody, Leucine zipper transcription regulator 2 antibody, LZTR 2 antibody, PGPR p117 antibody, Protein SEC16 homolog B antibody, Protein transport protein Sec16B antibody, Regucalcin gene promoter region related protein antibody, Regucalcin gene promoter region related protein p117 antibody, Regucalcin gene promoter region-related protein p117 antibody, RGPR antibody, RGPR p117 antibody, RGPR-p117 antibody, SC16B_HUMAN antibody, SEC16 homolog B (S. cerevisiae) antibody, SEC16 homolog B antibody, SEC16B antibody, SEC16S antibody

    UniProt

    Q96JE7
Sie sind hier:
Chat with us!