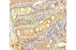
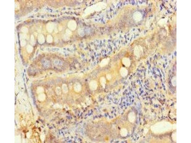
TESPA1 Antikörper (AA 251-521)
Kurzübersicht für TESPA1 Antikörper (AA 251-521) (ABIN7166174)
Target
Reaktivität
Wirt
Klonalität
Konjugat
Applikation
-
-
Bindungsspezifität
- AA 251-521
-
Verwendungszweck
- TESPA1 Antibody
-
Aufreinigung
- Protein G purified
-
Reinheit
- >95 %
-
Immunogen
- Recombinant Human Protein TESPA1 protein (251-521AA)
-
Isotyp
- IgG
-
-
-
-
Applikationshinweise
- Optimal working dilution should be determined by the investigator.
-
Beschränkungen
- Nur für Forschungszwecke einsetzbar
-
-
-
Format
- Liquid
-
Buffer
-
Preservative: 0.03 % Proclin 300
Constituents: 50 % Glycerol, 0.01M PBS, PH 7.4 -
Konservierungsmittel
- ProClin
-
Vorsichtsmaßnahmen
- This product contains ProClin: a POISONOUS AND HAZARDOUS SUBSTANCE which should be handled by trained staff only.
-
Lagerung
- -20 °C,-80 °C
-
Informationen zur Lagerung
- Upon receipt, store at -20°C or -80°C. Avoid repeated freeze.
-
-
- TESPA1 (Thymocyte Expressed, Positive Selection Associated 1 (TESPA1))
-
Andere Bezeichnung
- TESPA1
-
Hintergrund
-
Background: Required for the development and maturation of T-cells, its function being essential for the late stages of thymocyte development. Plays a role in T-cell antigen receptor (TCR)-mediated activation of the ERK and NFAT signaling pathways, possibly by serving as a scaffolding protein that promotes the assembly of the LAT signalosome in thymocytes. May play a role in the regulation of inositol 1,4,5-trisphosphate receptor-mediated Ca(2+) release and mitochondrial Ca(2+) uptake via the mitochondria-associated endoplasmic reticulum membrane (MAM) compartment.
Aliases: TESPA1 antibody, KIAA0748 antibody, HSPC257Protein TESPA1 antibody, Thymocyte-expressed positive selection-associated protein 1 antibody
-
UniProt
- A2RU30
Target
-