Telefon:
+49 (0)241 95 163 153
Fax:
+49 (0)241 95 163 155
E-Mail:
orders@antikoerper-online.de

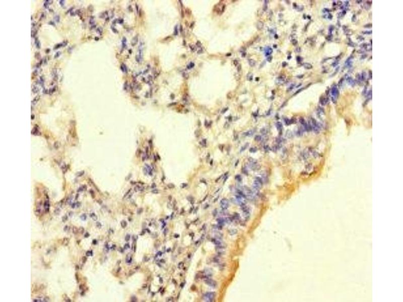
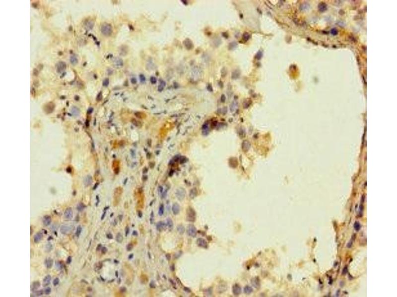
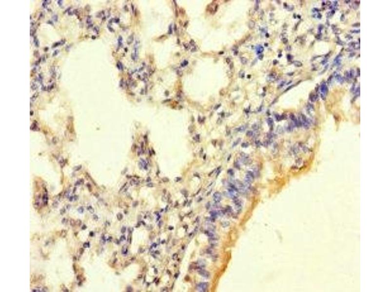
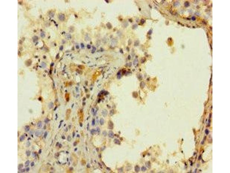
SGK196 Antikörper (AA 44-350)

Der Kaninchen Polyklonal anti-SGK196 Antikörper wird verwendet zum Nachweis von SGK196 in Proben von Human. Er wurde validiert für ELISA und IHC.
Produktnummer ABIN7165887
328,90 €
Zzgl. Versandkosten 20,00 € und MwSt
Lieferung nach: Deutschland
Lieferung in 11 bis 15 Werktagen

Kurzübersicht für SGK196 Antikörper (AA 44-350) (ABIN7165887)

Target

Alle SGK196 Antikörper anzeigen
SGK196 (Protein Kinase Protein SgK196 (SGK196))

Reaktivität

  • 25
  • 16
  • 3
  • 2
  • 1
  • 1
  • 1
  • 1
Human

Wirt

  • 28
  • 8
Kaninchen

Klonalität

  • 31
  • 5
Polyklonal

Konjugat

  • 21
  • 3
  • 2
  • 2
  • 1
  • 1
  • 1
  • 1
  • 1
  • 1
  • 1
  • 1
Dieser SGK196 Antikörper ist unkonjugiert

Applikation

  • 25
  • 14
  • 3
  • 2
  • 2
  • 1
  • 1
ELISA, Immunohistochemistry (IHC)
  • Bindungsspezifität

    • 9
    • 5
    • 4
    • 4
    • 3
    • 2
    • 1
    • 1
    • 1
    • 1
    • 1
    AA 44-350

    Verwendungszweck

    POMK Antibody

    Aufreinigung

    Protein G purified

    Reinheit

    >95 %

    Immunogen

    Recombinant Human Protein O-mannose kinase protein (44-350AA)

    Isotyp

    IgG
  • Applikationshinweise

    Optimal working dilution should be determined by the investigator.

    Beschränkungen

    Nur für Forschungszwecke einsetzbar
  • Format

    Liquid

    Buffer

    Preservative: 0.03 % Proclin 300
    Constituents: 50 % Glycerol, 0.01M PBS, PH 7.4

    Konservierungsmittel

    ProClin

    Vorsichtsmaßnahmen

    This product contains ProClin: a POISONOUS AND HAZARDOUS SUBSTANCE which should be handled by trained staff only.

    Lagerung

    -20 °C,-80 °C

    Informationen zur Lagerung

    Upon receipt, store at -20°C or -80°C. Avoid repeated freeze.
  • Target

    SGK196 (Protein Kinase Protein SgK196 (SGK196))

    Andere Bezeichnung

    POMK

    Hintergrund

    Background: Protein O-mannose kinase that specifically mediates phosphorylation at the 6-position of an O-mannose of the trisaccharide (N-acetylgalactosamine (GalNAc)-beta-1,3-N-acetylglucosamine (GlcNAc)-beta-1,4-mannose) to generate phosphorylated O-mannosyl trisaccharide (N-acetylgalactosamine-beta-1,3-N-acetylglucosamine-beta-1,4-(phosphate-6-)mannose). Phosphorylated O-mannosyl trisaccharide is a carbohydrate structure present in alpha-dystroglycan (DAG1), which is required for binding laminin G-like domain-containing extracellular proteins with high affinity. Only shows kinase activity when the GalNAc-beta-3-GlcNAc-beta-terminus is linked to the 4-position of O-mannose, suggesting that this disaccharide serves as the substrate recognition motif.

    Aliases: FLJ23356 antibody, MDDGA12 antibody, POMK antibody, Probable inactive protein kinase-like protein SgK196 antibody, Protein kinase like protein SgK196 antibody, Protein kinase-like protein SgK196 antibody, Protein O-mannose kinase antibody, SG196_HUMAN antibody, SGK196 antibody, Sugen kinase 196 antibody

    UniProt

    Q9H5K3
Sie sind hier:
Chat with us!