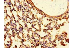
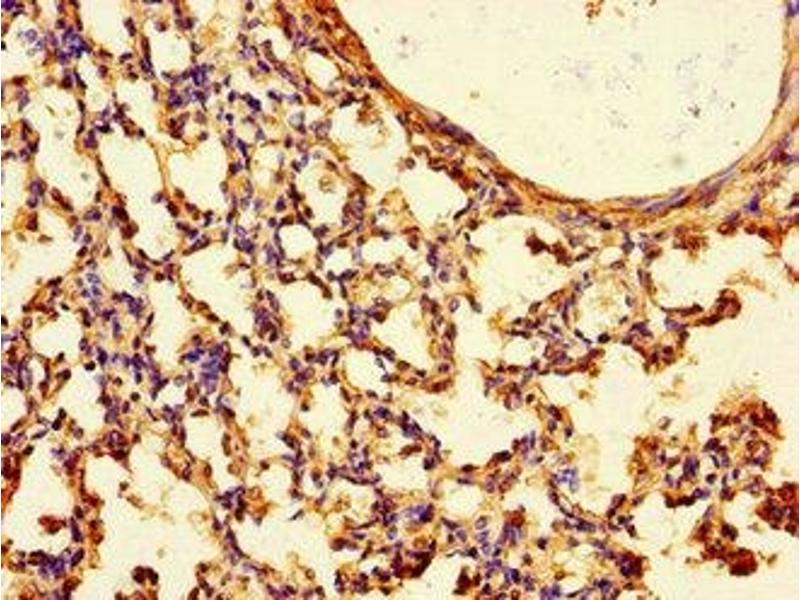
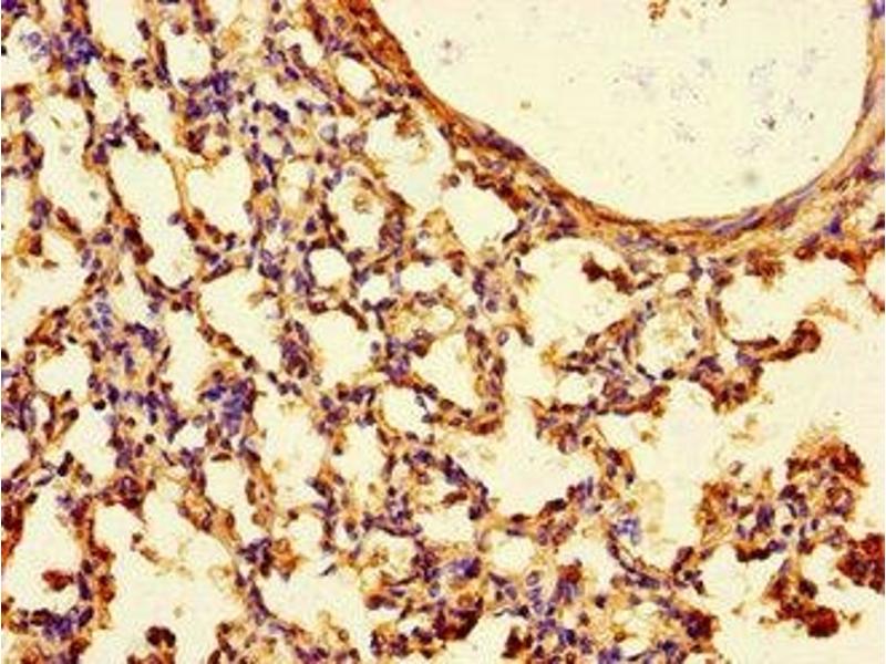
TTLL8 Antikörper (AA 671-822)
Kurzübersicht für TTLL8 Antikörper (AA 671-822) (ABIN7165823)
Target
Alle TTLL8 Antikörper anzeigenReaktivität
Wirt
Klonalität
Konjugat
Applikation
-
-
Bindungsspezifität
- AA 671-822
-
Verwendungszweck
- TTLL8 Antibody
-
Aufreinigung
- Protein G purified
-
Reinheit
- >95 %
-
Immunogen
- Recombinant Human Protein monoglycylase TTLL8 protein (671-822AA)
-
Isotyp
- IgG
-
-
-
-
Applikationshinweise
- Optimal working dilution should be determined by the investigator.
-
Beschränkungen
- Nur für Forschungszwecke einsetzbar
-
-
-
Format
- Liquid
-
Buffer
-
Preservative: 0.03 % Proclin 300
Constituents: 50 % Glycerol, 0.01M PBS, PH 7.4 -
Konservierungsmittel
- ProClin
-
Vorsichtsmaßnahmen
- This product contains ProClin: a POISONOUS AND HAZARDOUS SUBSTANCE which should be handled by trained staff only.
-
Lagerung
- -20 °C,-80 °C
-
Informationen zur Lagerung
- Upon receipt, store at -20°C or -80°C. Avoid repeated freeze.
-
-
- TTLL8 (Tubulin Tyrosine Ligase-Like Family, Member 8 (TTLL8))
-
Andere Bezeichnung
- TTLL8
-
Hintergrund
-
Background: Monoglycylase which modifies both tubulin and non-tubulin proteins, generating side chains of glycine on the gamma-carboxyl groups of specific glutamate residues of target proteins. Monoglycylates tubulin, with a preference for alpha-tubulin toward beta-tubulin. Has the ability to modify non-tubulin proteins such as ANP32A, ANP32B, SET and NCL. Involved in the side-chain initiation step of the glycylation reaction by adding a single glycine chain to generate monoglycine side chains. Not involved in elongation step of the polyglycylation reaction (By similarity).
Aliases: TTLL8 antibody, Protein monoglycylase TTLL8 antibody, EC 6.3.2.- antibody, Tubulin--tyrosine ligase-like protein 8 antibody
-
UniProt
- A6PVC2
Target
-