Telefon:
+49 (0)241 95 163 153
Fax:
+49 (0)241 95 163 155
E-Mail:
orders@antikoerper-online.de

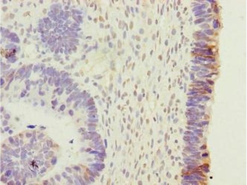
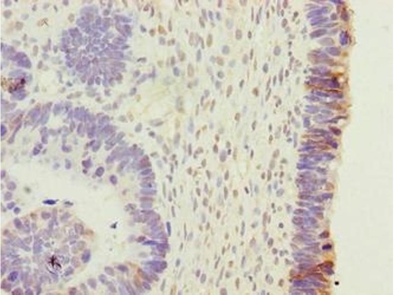
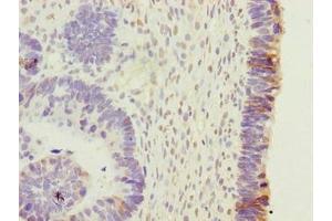
EFR3B Antikörper (AA 1-298)

Der Kaninchen Polyklonal anti-EFR3B Antikörper wird verwendet zum Nachweis von EFR3B in Proben von Human. Er wurde validiert für ELISA und IHC.
Produktnummer ABIN7165317
328,90 €
Zzgl. Versandkosten 20,00 € und MwSt
Lieferung nach: Deutschland
Lieferung in 11 bis 15 Werktagen

Kurzübersicht für EFR3B Antikörper (AA 1-298) (ABIN7165317)

Target

EFR3B (EFR3 Homolog B (EFR3B))

Reaktivität

  • 17
  • 17
  • 7
  • 2
  • 2
  • 2
  • 2
  • 2
  • 2
Human

Wirt

  • 22
Kaninchen

Klonalität

  • 22
Polyklonal

Konjugat

  • 4
  • 3
  • 2
  • 2
  • 1
  • 1
  • 1
  • 1
  • 1
  • 1
  • 1
  • 1
  • 1
  • 1
  • 1
Dieser EFR3B Antikörper ist unkonjugiert

Applikation

  • 13
  • 13
  • 6
  • 3
  • 3
  • 3
  • 1
ELISA, Immunohistochemistry (IHC)
  • Bindungsspezifität

    • 15
    • 4
    • 1
    • 1
    • 1
    AA 1-298

    Verwendungszweck

    EFR3B Antibody

    Aufreinigung

    Protein G purified

    Reinheit

    >95 %

    Immunogen

    Recombinant Human Protein EFR3 homolog B protein (1-298AA)

    Isotyp

    IgG
  • Applikationshinweise

    Optimal working dilution should be determined by the investigator.

    Beschränkungen

    Nur für Forschungszwecke einsetzbar
  • Format

    Liquid

    Buffer

    Preservative: 0.03 % Proclin 300
    Constituents: 50 % Glycerol, 0.01M PBS, PH 7.4

    Konservierungsmittel

    ProClin

    Vorsichtsmaßnahmen

    This product contains ProClin: a POISONOUS AND HAZARDOUS SUBSTANCE which should be handled by trained staff only.

    Lagerung

    -20 °C,-80 °C

    Informationen zur Lagerung

    Upon receipt, store at -20°C or -80°C. Avoid repeated freeze.
  • Target

    EFR3B (EFR3 Homolog B (EFR3B))

    Andere Bezeichnung

    EFR3B

    Hintergrund

    EFR3B antibody, KIAA0953Protein EFR3 homolog B antibody

    UniProt

    Q9Y2G0
Sie sind hier:
Chat with us!