Telefon:
+49 (0)241 95 163 153
Fax:
+49 (0)241 95 163 155
E-Mail:
orders@antikoerper-online.de

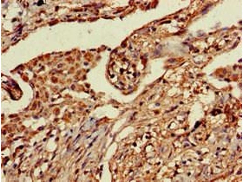
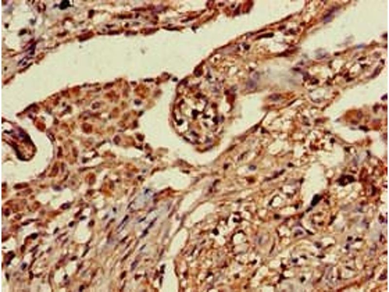
PRR11 Antikörper (AA 1-360)

Der Kaninchen Polyklonal anti-PRR11 Antikörper (ABIN7164763) detektiert spezifisch PRR11 in WB, ELISA, IHC und IF. Dieser Antikörper reagiert spezifisch mit Proben aus Human.
Produktnummer ABIN7164763
328,90 €
Zzgl. Versandkosten 20,00 € und MwSt
Lieferung nach: Deutschland
Lieferung in 11 bis 15 Werktagen

Kurzübersicht für PRR11 Antikörper (AA 1-360) (ABIN7164763)

Target

PRR11 (Proline Rich 11 (PRR11))

Reaktivität

  • 15
  • 5
  • 4
  • 4
  • 3
  • 3
  • 3
  • 2
  • 2
  • 1
  • 1
Human

Wirt

  • 12
  • 3
Kaninchen

Klonalität

  • 14
  • 1
Polyklonal

Konjugat

  • 11
  • 2
  • 1
  • 1
Dieser PRR11 Antikörper ist unkonjugiert

Applikation

  • 10
  • 5
  • 3
  • 1
  • 1
Western Blotting (WB), ELISA, Immunohistochemistry (IHC), Immunofluorescence (IF)
  • Bindungsspezifität

    • 6
    • 1
    • 1
    • 1
    • 1
    • 1
    • 1
    AA 1-360

    Verwendungszweck

    PRR11 Antibody

    Kreuzreaktivität

    Maus

    Aufreinigung

    Protein G purified

    Reinheit

    >95 %

    Immunogen

    Recombinant Human Proline-rich protein 11 protein (1-360AA)

    Isotyp

    IgG
  • Applikationshinweise

    Optimal working dilution should be determined by the investigator.

    Beschränkungen

    Nur für Forschungszwecke einsetzbar
  • Format

    Liquid

    Buffer

    Preservative: 0.03 % Proclin 300
    Constituents: 50 % Glycerol, 0.01M PBS, PH 7.4

    Konservierungsmittel

    ProClin

    Vorsichtsmaßnahmen

    This product contains ProClin: a POISONOUS AND HAZARDOUS SUBSTANCE which should be handled by trained staff only.

    Lagerung

    -20 °C,-80 °C

    Informationen zur Lagerung

    Upon receipt, store at -20°C or -80°C. Avoid repeated freeze.
  • Target

    PRR11 (Proline Rich 11 (PRR11))

    Andere Bezeichnung

    PRR11

    Hintergrund

    Background: Plays a critical role in cell cycle progression.

    Aliases: FLJ11029 antibody, Homo sapiens proline rich 11 antibody, Proline rich protein 11 antibody, Proline-rich protein 11 antibody, PRR 11 antibody, Prr11 antibody, PRR11_HUMAN antibody, transcription repressor of MHCII antibody

    UniProt

    Q96HE9
Sie sind hier:
Chat with us!