Telefon:
+49 (0)241 95 163 153
Fax:
+49 (0)241 95 163 155
E-Mail:
orders@antikoerper-online.de

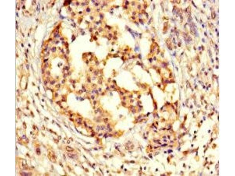
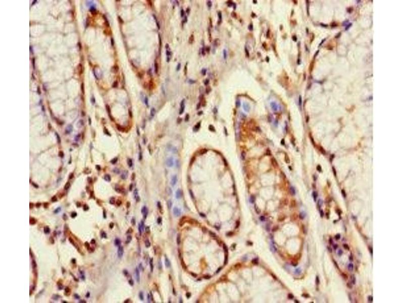
GPX8 Antikörper (AA 41-209)

Der Kaninchen Polyklonal anti-GPX8 Antikörper (ABIN7164529) detektiert spezifisch GPX8 in ELISA, IHC und IF. Dieser Antikörper reagiert spezifisch mit Proben aus Human.
Produktnummer ABIN7164529
328,90 €
Zzgl. Versandkosten 20,00 € und MwSt
Lieferung nach: Deutschland
Lieferung in 11 bis 15 Werktagen

Kurzübersicht für GPX8 Antikörper (AA 41-209) (ABIN7164529)

Target

Alle GPX8 Antikörper anzeigen
GPX8 (Glutathione Peroxidase 8 (GPX8))

Reaktivität

  • 21
  • 2
  • 1
  • 1
Human

Wirt

  • 20
  • 2
Kaninchen

Klonalität

  • 22
Polyklonal

Konjugat

  • 13
  • 3
  • 2
  • 2
  • 1
  • 1
Dieser GPX8 Antikörper ist unkonjugiert

Applikation

  • 18
  • 11
  • 3
  • 1
  • 1
  • 1
  • 1
ELISA, Immunohistochemistry (IHC), Immunofluorescence (IF)
  • Bindungsspezifität

    • 8
    • 4
    • 3
    • 3
    • 2
    • 2
    • 1
    AA 41-209

    Verwendungszweck

    GPX8 Antibody

    Aufreinigung

    Protein G purified

    Reinheit

    >95 %

    Immunogen

    Recombinant Human Probable glutathione peroxidase 8 protein (41-209AA)

    Isotyp

    IgG
  • Applikationshinweise

    Optimal working dilution should be determined by the investigator.

    Beschränkungen

    Nur für Forschungszwecke einsetzbar
  • Format

    Liquid

    Buffer

    Preservative: 0.03 % Proclin 300
    Constituents: 50 % Glycerol, 0.01M PBS, PH 7.4

    Konservierungsmittel

    ProClin

    Vorsichtsmaßnahmen

    This product contains ProClin: a POISONOUS AND HAZARDOUS SUBSTANCE which should be handled by trained staff only.

    Lagerung

    -20 °C,-80 °C

    Informationen zur Lagerung

    Upon receipt, store at -20°C or -80°C. Avoid repeated freeze.
  • Target

    GPX8 (Glutathione Peroxidase 8 (GPX8))

    Andere Bezeichnung

    GPX8

    Hintergrund

    Background: endoplasmic reticulum lumen, peroxidase activity, response to reactive oxygen species

    Aliases: EPLA847 antibody, Glutathione peroxidase 8 (putative) antibody, Glutathione peroxidase 8 antibody, GPX 8 antibody, GPx-8 antibody, gpx8 antibody, GPX8_HUMAN antibody, GSHPx-8 antibody, Probable glutathione peroxidase 8 antibody, UNQ847 antibody

    UniProt

    Q8TED1

    Pathways

    Thyroid Hormone Synthesis
Sie sind hier:
Chat with us!