Telefon:
+49 (0)241 95 163 153
Fax:
+49 (0)241 95 163 155
E-Mail:
orders@antikoerper-online.de

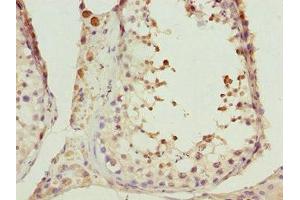
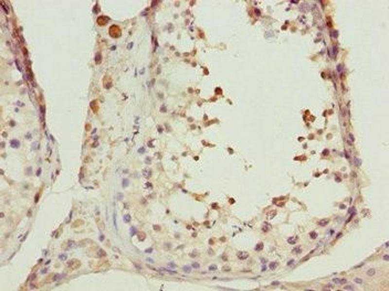
CIAO1 Antikörper (AA 1-339)

Der Kaninchen Polyklonal anti-CIAO1 Antikörper wird verwendet zum Nachweis von CIAO1 in Proben von Human. Er wurde validiert für IHC und ELISA.
Produktnummer ABIN7164405
328,90 €
Zzgl. Versandkosten 20,00 € und MwSt
Lieferung nach: Deutschland
Lieferung in 11 bis 15 Werktagen

Kurzübersicht für CIAO1 Antikörper (AA 1-339) (ABIN7164405)

Target

Alle CIAO1 Antikörper anzeigen
CIAO1 (Cytosolic Iron-Sulfur Protein Assembly 1 (CIAO1))

Reaktivität

  • 29
  • 9
  • 8
  • 7
  • 7
  • 5
  • 5
  • 5
  • 2
  • 2
  • 1
  • 1
Human

Wirt

  • 27
  • 2
Kaninchen

Klonalität

  • 27
  • 2
Polyklonal

Konjugat

  • 16
  • 2
  • 2
  • 1
  • 1
  • 1
  • 1
  • 1
  • 1
  • 1
  • 1
  • 1
Dieser CIAO1 Antikörper ist unkonjugiert

Applikation

  • 22
  • 12
  • 11
  • 1
  • 1
  • 1
Immunohistochemistry (IHC), ELISA
  • Bindungsspezifität

    • 7
    • 3
    • 2
    • 2
    • 2
    • 2
    • 2
    • 1
    • 1
    • 1
    • 1
    AA 1-339

    Verwendungszweck

    CIAO1 Antibody

    Aufreinigung

    Antigen Affinity Purified

    Immunogen

    Recombinant Human Probable cytosolic iron-sulfur protein assembly protein CIAO1 protein (1-339AA)

    Isotyp

    IgG
  • Applikationshinweise

    Optimal working dilution should be determined by the investigator.

    Beschränkungen

    Nur für Forschungszwecke einsetzbar
  • Format

    Liquid

    Buffer

    PBS with 0.02 % sodium azide, 50 % glycerol, pH 7.3.

    Konservierungsmittel

    Sodium azide

    Vorsichtsmaßnahmen

    This product contains Sodium azide: a POISONOUS AND HAZARDOUS SUBSTANCE which should be handled by trained staff only.

    Lagerung

    -20 °C,-80 °C

    Informationen zur Lagerung

    Upon receipt, store at -20°C or -80°C. Avoid repeated freeze.
  • Target

    CIAO1 (Cytosolic Iron-Sulfur Protein Assembly 1 (CIAO1))

    Andere Bezeichnung

    CIAO1

    Hintergrund

    Background: Key component of the cytosolic iron-sulfur protein assembly (CIA) complex, a multiprotein complex that mediates the incorporation of iron-sulfur cluster into extramitochondrial Fe/S proteins. Seems to specifically modulate the transactivation activity of WT1. As part of the mitotic spindle-associated MMXD complex it may play a role in chromosome segregation.

    Aliases: CIAO1 antibody, CIA1 antibody, WDR39Probable cytosolic iron-sulfur protein assembly protein CIAO1 antibody, WD repeat-containing protein 39 antibody

    UniProt

    O76071
Sie sind hier:
Chat with us!