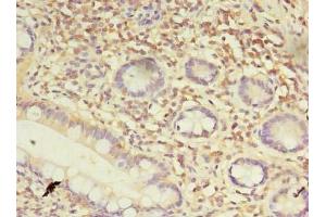
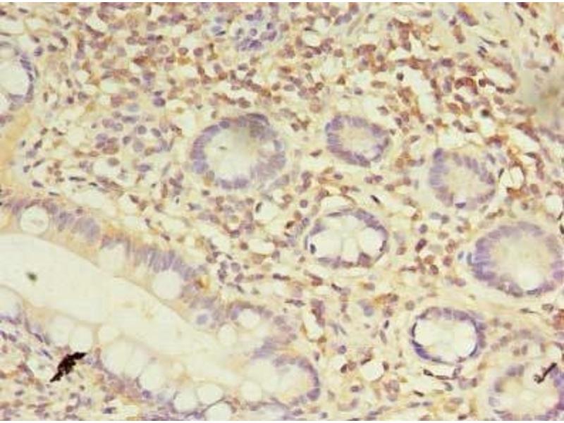
DDX31 Antikörper (AA 560-851)
Kurzübersicht für DDX31 Antikörper (AA 560-851) (ABIN7164351)
Target
Alle DDX31 Antikörper anzeigenReaktivität
Wirt
Klonalität
Konjugat
Applikation
-
-
Bindungsspezifität
- AA 560-851
-
Verwendungszweck
- DDX31 Antibody
-
Aufreinigung
- Protein G purified
-
Reinheit
- >95 %
-
Immunogen
- Recombinant Human Probable ATP-dependent RNA helicase DDX31 protein (560-851AA)
-
Isotyp
- IgG
-
-
-
-
Applikationshinweise
- Optimal working dilution should be determined by the investigator.
-
Beschränkungen
- Nur für Forschungszwecke einsetzbar
-
-
-
Format
- Liquid
-
Buffer
-
Preservative: 0.03 % Proclin 300
Constituents: 50 % Glycerol, 0.01M PBS, PH 7.4 -
Konservierungsmittel
- ProClin
-
Vorsichtsmaßnahmen
- This product contains ProClin: a POISONOUS AND HAZARDOUS SUBSTANCE which should be handled by trained staff only.
-
Lagerung
- -20 °C,-80 °C
-
Informationen zur Lagerung
- Upon receipt, store at -20°C or -80°C. Avoid repeated freeze.
-
-
- DDX31 (DEAD (Asp-Glu-Ala-Asp) Box Polypeptide 31 (DDX31))
-
Andere Bezeichnung
- DDX31
-
Hintergrund
-
Background: Probable ATP-dependent RNA helicase (By similarity). Plays a role in ribosome biogenesis and TP53/p53 regulation through its interaction with NPM1 (PubMed:23019224).
Aliases: DDX31Probable ATP-dependent RNA helicase DDX31 antibody, EC 3.6.4.13 antibody, DEAD box protein 31 antibody, Helicain antibody
-
UniProt
- Q9H8H2
Target
-