Telefon:
+49 (0)241 95 163 153
Fax:
+49 (0)241 95 163 155
E-Mail:
orders@antikoerper-online.de

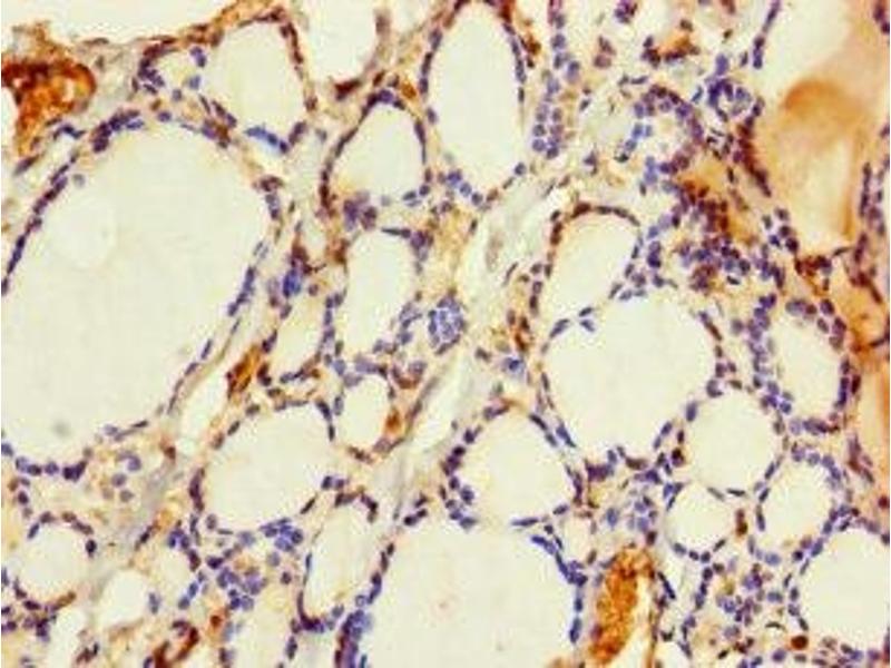
SLMO2 Antikörper (AA 1-194)

Der Kaninchen Polyklonal anti-SLMO2 Antikörper wird verwendet zum Nachweis von SLMO2 in Proben von Human. Er wurde validiert für ELISA und IHC.
Produktnummer ABIN7164255
328,90 €
Zzgl. Versandkosten 20,00 € und MwSt
Lieferung nach: Deutschland
Lieferung in 11 bis 15 Werktagen

Kurzübersicht für SLMO2 Antikörper (AA 1-194) (ABIN7164255)

Target

Alle SLMO2 Antikörper anzeigen
SLMO2 (Slowmo Homolog 2 (SLMO2))

Reaktivität

  • 17
  • 3
  • 3
  • 2
  • 2
  • 2
  • 2
  • 1
  • 1
  • 1
  • 1
  • 1
Human

Wirt

  • 17
Kaninchen

Klonalität

  • 17
Polyklonal

Konjugat

  • 8
  • 3
  • 2
  • 2
  • 1
  • 1
Dieser SLMO2 Antikörper ist unkonjugiert

Applikation

  • 12
  • 11
  • 8
  • 3
  • 2
ELISA, Immunohistochemistry (IHC)
  • Bindungsspezifität

    • 7
    • 4
    • 2
    • 1
    • 1
    • 1
    • 1
    • 1
    AA 1-194

    Verwendungszweck

    PRELID3B Antibody

    Aufreinigung

    Protein G purified

    Reinheit

    >95 %

    Immunogen

    Recombinant Human PRELI domain containing protein 3B protein (1-194AA)

    Isotyp

    IgG
  • Applikationshinweise

    Optimal working dilution should be determined by the investigator.

    Beschränkungen

    Nur für Forschungszwecke einsetzbar
  • Format

    Liquid

    Buffer

    Preservative: 0.03 % Proclin 300
    Constituents: 50 % Glycerol, 0.01M PBS, PH 7.4

    Konservierungsmittel

    ProClin

    Vorsichtsmaßnahmen

    This product contains ProClin: a POISONOUS AND HAZARDOUS SUBSTANCE which should be handled by trained staff only.

    Lagerung

    -20 °C,-80 °C

    Informationen zur Lagerung

    Upon receipt, store at -20°C or -80°C. Avoid repeated freeze.
  • Target

    SLMO2 (Slowmo Homolog 2 (SLMO2))

    Andere Bezeichnung

    PRELID3B

    Hintergrund

    Background: mitochondrial intermembrane space, phosphatidic acid transporter activity, phospholipid transport

    Aliases: PRELID3B antibody, C20orf45 antibody, SLMO2 antibody, CGI-107 antibody, PRELI domain containing protein 3B antibody, Protein slowmo homolog 2 antibody

    UniProt

    Q9Y3B1
Sie sind hier:
Chat with us!