PAIP2 Antikörper (AA 1-127)
Kurzübersicht für PAIP2 Antikörper (AA 1-127) (ABIN7163786)
Target
Alle PAIP2 Antikörper anzeigenReaktivität
Wirt
Klonalität
Konjugat
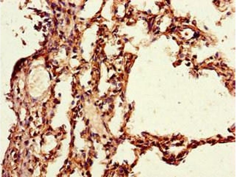
Applikation
-
-
Bindungsspezifität
- AA 1-127
-
Verwendungszweck
- PAIP2 Antibody
-
Kreuzreaktivität
- Maus
-
Aufreinigung
- Protein G purified
-
Reinheit
- >95 %
-
Immunogen
- Recombinant Human Polyadenylate-binding protein-interacting protein 2 protein (1-127AA)
-
Isotyp
- IgG
-
-
-
-
Applikationshinweise
- Optimal working dilution should be determined by the investigator.
-
Beschränkungen
- Nur für Forschungszwecke einsetzbar
-
-
-
Format
- Liquid
-
Buffer
-
Preservative: 0.03 % Proclin 300
Constituents: 50 % Glycerol, 0.01M PBS, PH 7.4 -
Konservierungsmittel
- ProClin
-
Vorsichtsmaßnahmen
- This product contains ProClin: a POISONOUS AND HAZARDOUS SUBSTANCE which should be handled by trained staff only.
-
Lagerung
- -20 °C,-80 °C
-
Informationen zur Lagerung
- Upon receipt, store at -20°C or -80°C. Avoid repeated freeze.
-
-
- PAIP2 (Poly Binding Protein Interacting Protein 2 (PAIP2))
-
Andere Bezeichnung
- PAIP2
-
Hintergrund
-
Background: Acts as a repressor in the regulation of translation initiation of poly(A)-containing mRNAs. Its inhibitory activity on translation is mediated via its action on PABPC1. Displaces the interaction of PABPC1 with poly(A) RNA and competes with PAIP1 for binding to PABPC1. Its association with PABPC1 results in disruption of the cytoplasmic poly(A) RNP structure organization.
Aliases: PABP-interacting protein 2 antibody, PAIP-2 antibody, PAIP2 antibody, PAIP2_HUMAN antibody, poly(A) binding protein interacting protein 2 antibody, Poly(A)-binding protein-interacting protein 2 antibody, Polyadenylate-binding protein-interacting protein 2 antibody
-
UniProt
- Q9BPZ3
Target
-