Telefon:
+49 (0)241 95 163 153
Fax:
+49 (0)241 95 163 155
E-Mail:
orders@antikoerper-online.de

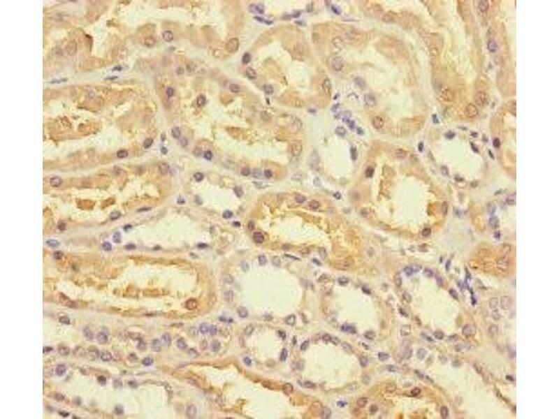
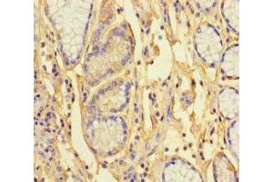
ANKRD33 Antikörper (AA 1-272)

Der Kaninchen Polyklonal anti-ANKRD33 Antikörper (ABIN7163422) detektiert spezifisch ANKRD33 in ELISA und IHC. Dieser Antikörper reagiert spezifisch mit Proben aus Human.
Produktnummer ABIN7163422
328,90 €
Zzgl. Versandkosten 20,00 € und MwSt
Lieferung nach: Deutschland
Lieferung in 11 bis 15 Werktagen

Kurzübersicht für ANKRD33 Antikörper (AA 1-272) (ABIN7163422)

Target

ANKRD33 (Ankyrin Repeat Domain 33 (ANKRD33))

Reaktivität

  • 10
  • 1
  • 1
  • 1
  • 1
  • 1
Human

Wirt

  • 10
Kaninchen

Klonalität

  • 9
Polyklonal

Konjugat

  • 6
  • 2
  • 1
  • 1
Dieser ANKRD33 Antikörper ist unkonjugiert

Applikation

  • 6
  • 5
  • 2
ELISA, Immunohistochemistry (IHC)
  • Bindungsspezifität

    • 4
    • 1
    • 1
    • 1
    • 1
    AA 1-272

    Verwendungszweck

    ANKRD33 Antibody

    Aufreinigung

    Protein G purified

    Reinheit

    >95 %

    Immunogen

    Recombinant Human Photoreceptor ankyrin repeat protein (1-272AA)

    Isotyp

    IgG
  • Applikationshinweise

    Optimal working dilution should be determined by the investigator.

    Beschränkungen

    Nur für Forschungszwecke einsetzbar
  • Format

    Liquid

    Buffer

    Preservative: 0.03 % Proclin 300
    Constituents: 50 % Glycerol, 0.01M PBS, PH 7.4

    Konservierungsmittel

    ProClin

    Vorsichtsmaßnahmen

    This product contains ProClin: a POISONOUS AND HAZARDOUS SUBSTANCE which should be handled by trained staff only.

    Lagerung

    -20 °C,-80 °C

    Informationen zur Lagerung

    Upon receipt, store at -20°C or -80°C. Avoid repeated freeze.
  • Target

    ANKRD33 (Ankyrin Repeat Domain 33 (ANKRD33))

    Andere Bezeichnung

    ANKRD33

    Hintergrund

    Background: Acts as a transcriptional repressor for CRX-activated photoreceptor gene regulation.

    Aliases: Ankrd33 antibody, Ankyrin repeat domain 33 antibody, Ankyrin repeat domain-containing protein 33 antibody, ANR33_HUMAN antibody, C12orf7 antibody, DKFZp686O1689 antibody, PANKY antibody

    UniProt

    Q7Z3H0
Sie sind hier:
Chat with us!