Telefon:
+49 (0)241 95 163 153
Fax:
+49 (0)241 95 163 155
E-Mail:
orders@antikoerper-online.de

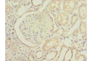
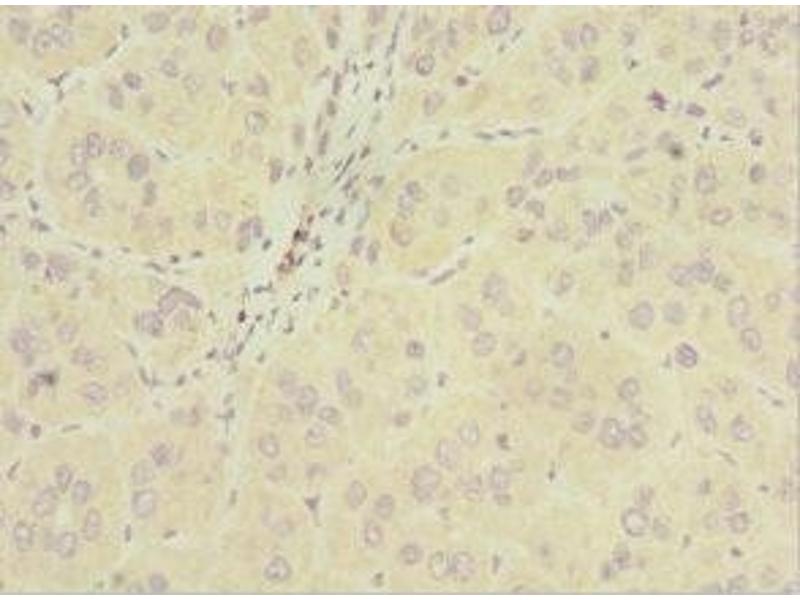
INPP5J Antikörper (AA 60-360)

Der Kaninchen Polyklonal anti-INPP5J Antikörper (ABIN7163200) detektiert spezifisch INPP5J in IHC und ELISA. Dieser Antikörper reagiert spezifisch mit Proben aus Human.
Produktnummer ABIN7163200
328,90 €
Zzgl. Versandkosten 20,00 € und MwSt
Lieferung nach: Deutschland
Lieferung in 11 bis 15 Werktagen

Kurzübersicht für INPP5J Antikörper (AA 60-360) (ABIN7163200)

Target

Alle INPP5J Antikörper anzeigen
INPP5J (Inositol Polyphosphate-5-Phosphatase J (INPP5J))

Reaktivität

  • 26
  • 19
  • 16
  • 5
  • 4
  • 4
  • 4
  • 4
  • 2
  • 2
  • 2
  • 2
  • 1
Human

Wirt

  • 26
Kaninchen

Klonalität

  • 26
Polyklonal

Konjugat

  • 19
  • 1
  • 1
  • 1
  • 1
  • 1
  • 1
  • 1
Dieser INPP5J Antikörper ist unkonjugiert

Applikation

  • 11
  • 9
  • 6
  • 6
  • 4
  • 2
Immunohistochemistry (IHC), ELISA
  • Bindungsspezifität

    • 7
    • 5
    • 1
    • 1
    • 1
    • 1
    AA 60-360

    Verwendungszweck

    INPP5J Antibody

    Aufreinigung

    Antigen Affinity Purified

    Immunogen

    Recombinant Human Phosphatidylinositol 4,5-bisphosphate 5-phosphatase A protein (60-360AA)

    Isotyp

    IgG
  • Applikationshinweise

    Optimal working dilution should be determined by the investigator.

    Beschränkungen

    Nur für Forschungszwecke einsetzbar
  • Format

    Liquid

    Buffer

    PBS with 0.02 % sodium azide, 50 % glycerol, pH 7.3.

    Konservierungsmittel

    Sodium azide

    Vorsichtsmaßnahmen

    This product contains Sodium azide: a POISONOUS AND HAZARDOUS SUBSTANCE which should be handled by trained staff only.

    Lagerung

    -20 °C,-80 °C

    Informationen zur Lagerung

    Upon receipt, store at -20°C or -80°C. Avoid repeated freeze.
  • Target

    INPP5J (Inositol Polyphosphate-5-Phosphatase J (INPP5J))

    Andere Bezeichnung

    INPP5J

    Hintergrund

    Background: Inositol 5-phosphatase, which converts inositol 1,4,5-trisphosphate to inositol 1,4-bisphosphate. Also converts phosphatidylinositol 4,5-bisphosphate to phosphatidylinositol 4-phosphate and inositol 1,3,4,5-tetrakisphosphate to inositol 1,3,4-trisphosphate in vitro. May be involved in modulation of the function of inositol and phosphatidylinositol polyphosphate-binding proteins that are present at membranes ruffles (By similarity).

    Aliases: INPP5J antibody, PIB5PA antibody, PIPP antibody, Phosphatidylinositol 4,5-bisphosphate 5-phosphatase A antibody, EC 3.1.3.56 antibody, Inositol polyphosphate 5-phosphatase J antibody

    UniProt

    Q15735
Sie sind hier:
Chat with us!