Telefon:
+49 (0)241 95 163 153
Fax:
+49 (0)241 95 163 155
E-Mail:
orders@antikoerper-online.de

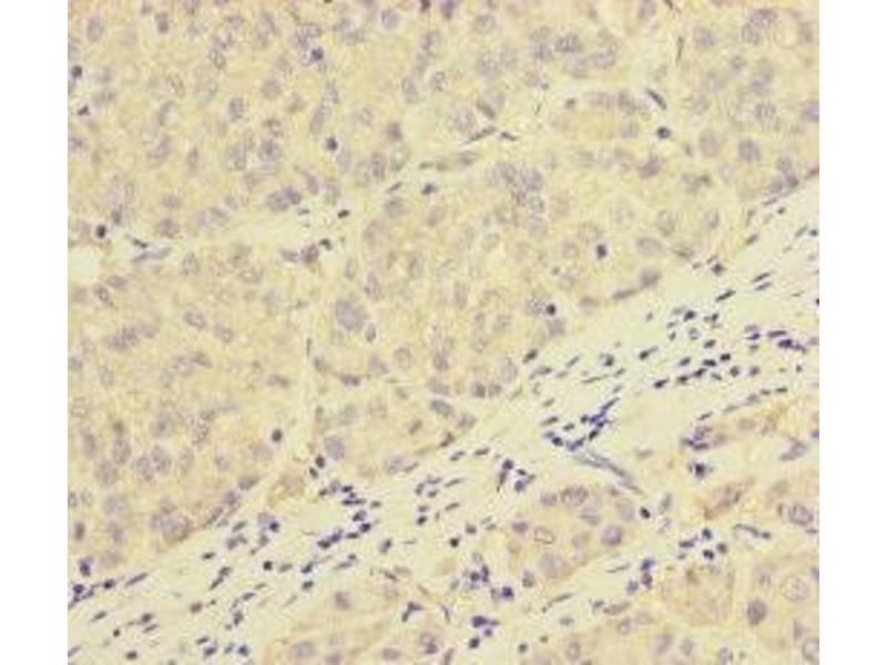
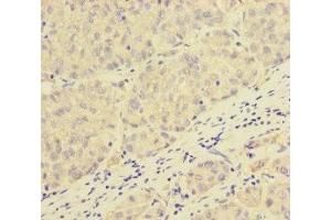
PEX16 Antikörper (AA 132-336)

Dieser Kaninchen Polyklonal Antikörper detektiert spezifisch PEX16 in ELISA und IHC. Es zeigt Reaktivität gegenüber Proben von Human.
Produktnummer ABIN7162979
328,90 €
Zzgl. Versandkosten 20,00 € und MwSt
Lieferung nach: Deutschland
Lieferung in 11 bis 15 Werktagen

Kurzübersicht für PEX16 Antikörper (AA 132-336) (ABIN7162979)

Target

Alle PEX16 Antikörper anzeigen
PEX16 (Peroxisomal Biogenesis Factor 16 (PEX16))

Reaktivität

  • 17
  • 4
  • 2
Human

Wirt

  • 16
  • 1
Kaninchen

Klonalität

  • 16
  • 1
Polyklonal

Konjugat

  • 11
  • 2
  • 1
  • 1
  • 1
  • 1
Dieser PEX16 Antikörper ist unkonjugiert

Applikation

  • 16
  • 12
  • 9
  • 2
  • 2
  • 1
  • 1
ELISA, Immunohistochemistry (IHC)
  • Bindungsspezifität

    • 8
    • 2
    • 2
    • 2
    • 2
    • 1
    • 1
    AA 132-336

    Verwendungszweck

    PEX16 Antibody

    Aufreinigung

    Antigen Affinity Purified

    Immunogen

    Recombinant Human Peroxisomal membrane protein PEX16 protein (132-336AA)

    Isotyp

    IgG
  • Applikationshinweise

    Optimal working dilution should be determined by the investigator.

    Beschränkungen

    Nur für Forschungszwecke einsetzbar
  • Format

    Liquid

    Buffer

    PBS with 0.02 % sodium azide, 50 % glycerol, pH 7.3.

    Konservierungsmittel

    Sodium azide

    Vorsichtsmaßnahmen

    This product contains Sodium azide: a POISONOUS AND HAZARDOUS SUBSTANCE which should be handled by trained staff only.

    Lagerung

    -20 °C,-80 °C

    Informationen zur Lagerung

    Upon receipt, store at -20°C or -80°C. Avoid repeated freeze.
  • Target

    PEX16 (Peroxisomal Biogenesis Factor 16 (PEX16))

    Andere Bezeichnung

    PEX16

    Hintergrund

    Background: Required for peroxisome membrane biogenesis. May play a role in early stages of peroxisome assembly. Can recruit other peroxisomal proteins, such as PEX3 and PMP34, to de novo peroxisomes derived from the endoplasmic reticulum (ER). May function as receptor for PEX3.

    Aliases: PEX16 antibody, Peroxisomal membrane protein PEX16 antibody, Peroxin-16 antibody, Peroxisomal biogenesis factor 16 antibody

    UniProt

    Q9Y5Y5
Sie sind hier:
Chat with us!