Telefon:
+49 (0)241 95 163 153
Fax:
+49 (0)241 95 163 155
E-Mail:
orders@antikoerper-online.de

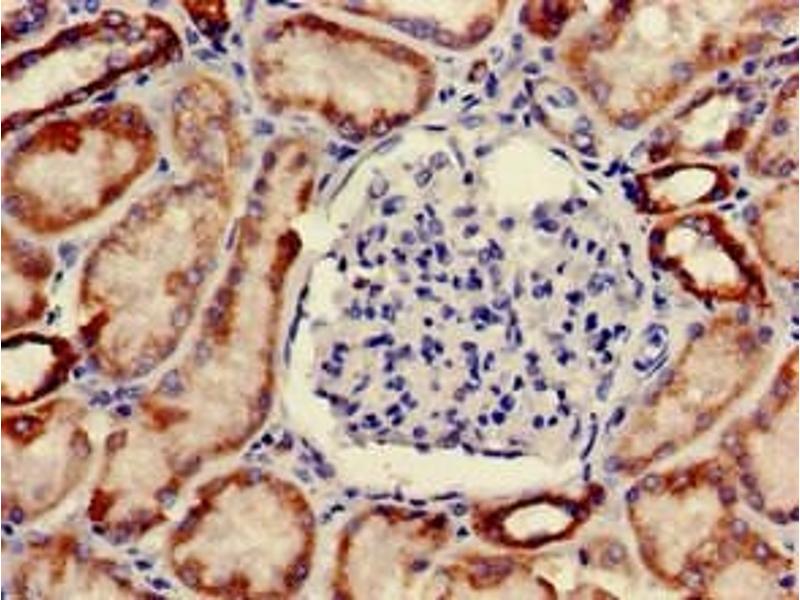
ONECUT2 Antikörper (AA 214-331)

Der Kaninchen Polyklonal anti-ONECUT2 Antikörper (ABIN7162222) detektiert spezifisch ONECUT2 in WB, ELISA und IHC. Dieser Antikörper reagiert spezifisch mit Proben aus Human.
Produktnummer ABIN7162222
328,90 €
Zzgl. Versandkosten 20,00 € und MwSt
Lieferung nach: Deutschland
Lieferung in 11 bis 15 Werktagen

Kurzübersicht für ONECUT2 Antikörper (AA 214-331) (ABIN7162222)

Target

Alle ONECUT2 Antikörper anzeigen
ONECUT2 (One Cut Homeobox 2 (ONECUT2))

Reaktivität

  • 36
  • 22
  • 5
  • 4
  • 4
  • 3
  • 3
  • 3
  • 3
  • 3
  • 1
  • 1
Human

Wirt

  • 36
Kaninchen

Klonalität

  • 36
Polyklonal

Konjugat

  • 13
  • 4
  • 3
  • 3
  • 1
  • 1
  • 1
  • 1
  • 1
  • 1
  • 1
  • 1
  • 1
  • 1
  • 1
  • 1
  • 1
Dieser ONECUT2 Antikörper ist unkonjugiert

Applikation

  • 32
  • 15
  • 13
  • 13
  • 4
  • 3
  • 3
  • 1
  • 1
Western Blotting (WB), ELISA, Immunohistochemistry (IHC)
  • Bindungsspezifität

    • 15
    • 8
    • 4
    • 3
    • 1
    • 1
    • 1
    • 1
    • 1
    • 1
    AA 214-331

    Verwendungszweck

    ONECUT2 Antibody

    Aufreinigung

    Protein G purified

    Reinheit

    >95 %

    Immunogen

    Recombinant Human One cut domain family member 2 protein (214-331AA)

    Isotyp

    IgG
  • Applikationshinweise

    Optimal working dilution should be determined by the investigator.

    Beschränkungen

    Nur für Forschungszwecke einsetzbar
  • Format

    Liquid

    Buffer

    Preservative: 0.03 % Proclin 300
    Constituents: 50 % Glycerol, 0.01M PBS, pH 7.4

    Konservierungsmittel

    ProClin

    Vorsichtsmaßnahmen

    This product contains ProClin: a POISONOUS AND HAZARDOUS SUBSTANCE which should be handled by trained staff only.

    Lagerung

    -20 °C,-80 °C

    Informationen zur Lagerung

    Upon receipt, store at -20°C or -80°C. Avoid repeated freeze.
  • Target

    ONECUT2 (One Cut Homeobox 2 (ONECUT2))

    Andere Bezeichnung

    ONECUT2

    Hintergrund

    Background: Transcriptional activator. Activates the transcription of a number of liver genes such as HNF3B.

    Aliases: ONECUT2 antibody, HNF6B antibody, One cut domain family member 2 antibody, Hepatocyte nuclear factor 6-beta antibody, HNF-6-beta antibody, One cut homeobox 2 antibody, Transcription factor ONECUT-2 antibody, OC-2 antibody

    UniProt

    O95948
Sie sind hier:
Chat with us!