Telefon:
+49 (0)241 95 163 153
Fax:
+49 (0)241 95 163 155
E-Mail:
orders@antikoerper-online.de

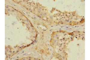
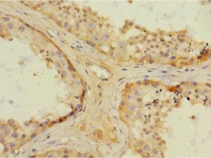
NRBP1 Antikörper (AA 406-535)

Der Kaninchen Polyklonal anti-NRBP1 Antikörper (ABIN7161916) detektiert spezifisch NRBP1 in IHC und ELISA. Dieser Antikörper reagiert spezifisch mit Proben aus Human.
Produktnummer ABIN7161916
328,90 €
Zzgl. Versandkosten 20,00 € und MwSt
Lieferung nach: Deutschland
Lieferung in 11 bis 15 Werktagen

Kurzübersicht für NRBP1 Antikörper (AA 406-535) (ABIN7161916)

Target

Alle NRBP1 Antikörper anzeigen
NRBP1 (Nuclear Receptor Binding Protein 1 (NRBP1))

Reaktivität

  • 44
  • 18
  • 7
  • 6
  • 4
  • 4
  • 4
  • 4
  • 4
  • 2
  • 2
  • 1
  • 1
  • 1
  • 1
Human

Wirt

  • 32
  • 12
Kaninchen

Klonalität

  • 34
  • 10
Polyklonal

Konjugat

  • 34
  • 2
  • 2
  • 2
  • 2
  • 2
Dieser NRBP1 Antikörper ist unkonjugiert

Applikation

  • 43
  • 20
  • 15
  • 6
  • 5
  • 4
  • 4
  • 2
  • 1
Immunohistochemistry (IHC), ELISA
  • Bindungsspezifität

    • 8
    • 8
    • 6
    • 4
    • 2
    • 1
    • 1
    • 1
    • 1
    • 1
    • 1
    AA 406-535

    Verwendungszweck

    NRBP1 Antibody

    Aufreinigung

    Antigen Affinity Purified

    Immunogen

    Recombinant Human Nuclear receptor-binding protein (406-535AA)

    Isotyp

    IgG
  • Applikationshinweise

    Optimal working dilution should be determined by the investigator.

    Beschränkungen

    Nur für Forschungszwecke einsetzbar
  • Format

    Liquid

    Buffer

    PBS with 0.02 % sodium azide, 50 % glycerol, pH 7.3.

    Konservierungsmittel

    Sodium azide

    Vorsichtsmaßnahmen

    This product contains Sodium azide: a POISONOUS AND HAZARDOUS SUBSTANCE which should be handled by trained staff only.

    Lagerung

    -20 °C,-80 °C

    Informationen zur Lagerung

    Upon receipt, store at -20°C or -80°C. Avoid repeated freeze.
  • Target

    NRBP1 (Nuclear Receptor Binding Protein 1 (NRBP1))

    Andere Bezeichnung

    NRBP1

    Hintergrund

    Background: May play a role in subcellular trafficking between the endoplasmic reticulum and Golgi apparatus through interactions with the Rho-type GTPases. Binding to the NS3 protein of dengue virus type 2 appears to subvert this activity into the alteration of the intracellular membrane structure associated with flaviviral replication.

    Aliases: BCON3 antibody, MADM antibody, MUDPNP antibody, Multiple domain putative nuclear protein antibody, Myeloid leukemia factor 1 adaptor molecule antibody, NRBP antibody, NRBP_HUMAN antibody, NRBP1 antibody, Nuclear receptor binding protein antibody, Nuclear receptor-binding protein antibody

    UniProt

    Q9UHY1

    Pathways

    Nuclear Receptor Transcription Pathway
Sie sind hier:
Chat with us!